マウスピース矯正 料金
手軽で目立たない点が人気の秘密
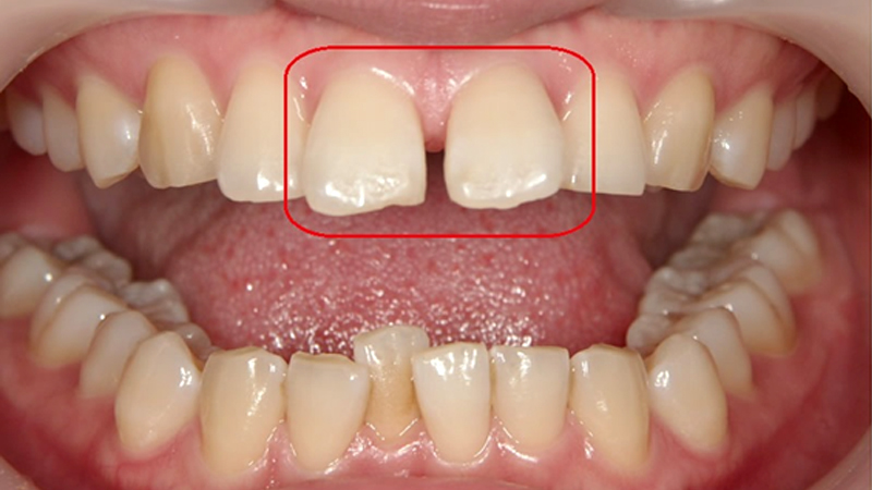
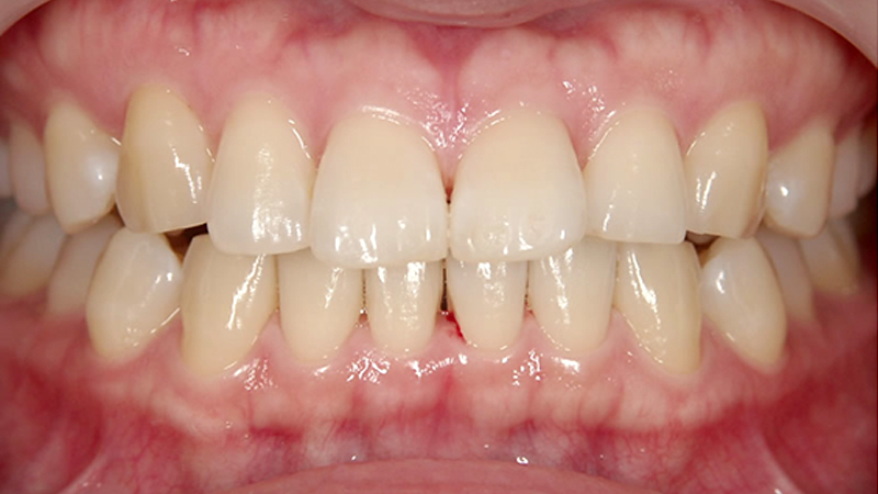
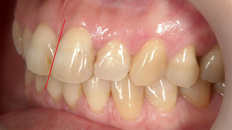
マウスピース矯正ですきっ歯を改善
| 施術内容 | 費用(税込) | 期間 |
| 12ステップ | ¥660,000 | 1年間 |
お支払い例¥55,000/月×12回=¥660,000
※自由診療。治療期間、費用、施術の流れ、仕上がりに関しては個人差があります。
副作用(リスク):つけ始めにマウスピースの違和感を感じることがあります。
上の前歯にすき間があるすきっ歯を改善されたいとのことで、ご来院いただきました。
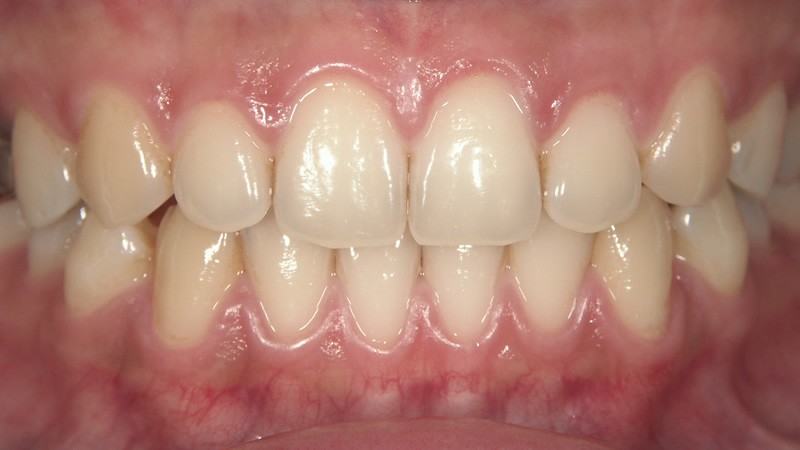
12か月ほどかけて前歯のすき間をマウスピース矯正により治療いたしました。上限の前歯の歯並びが整い、美しいお口元に仕上がりました。
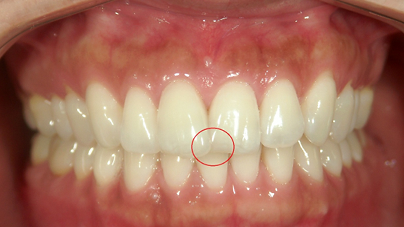
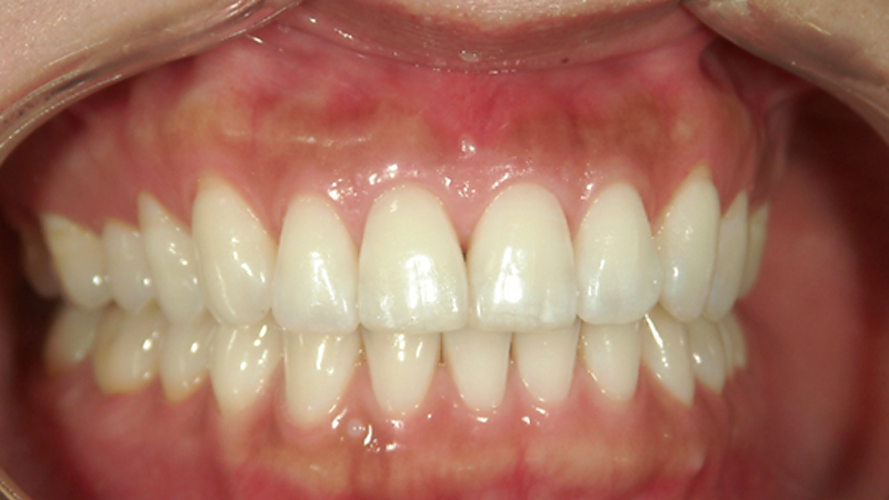
マウスピース矯正で前歯の重なりを改善
| 施術内容 | 費用(税込) | 期間 |
| 7ステップ(上顎のみ) | ¥192,500 | 1年間 |
お支払い例¥27,500/月×7回=¥192,500
※自由診療。治療期間、費用、施術の流れ、仕上がりに関しては個人差があります。
副作用(リスク):つけ始めにマウスピースの違和感を感じることがあります。
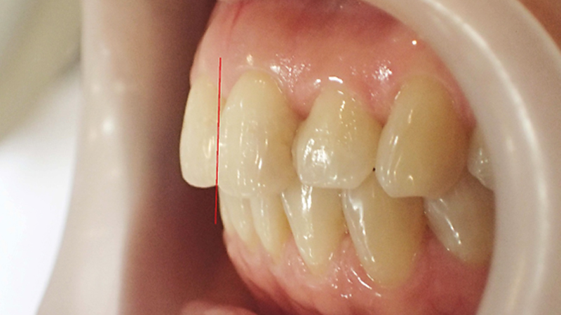
上の前歯が重なっているのと、前歯が口ゴボ(出っ歯)気味なことを気にされてご来院いただきました。
できるだけ健康な歯を削らない治療をご希望でしたので、上顎のみのマウスピース矯正7ステップ行いました。
歯が内側に入り、前歯の重なりも解消されたことで理想的な歯並びに整いました。
マウスピース矯正で出っ歯を改善
| 施術内容 | 費用(税込) | 期間 |
| 10ステップ | ¥550,000 | 1年間 |
お支払い例¥55,000/月×10回=¥550,000
※自由診療。治療期間、費用、施術の流れ、仕上がりに関しては個人差があります。
副作用(リスク):つけ始めにマウスピースの違和感を感じることがあります。
前歯の出っ歯(口ゴボ)が気になるとのことでカウンセリングにお越しいただきました。
上の前歯と下の前歯がどちらも出ている上下顎前突をマウスピース矯正で治療しました。
上の歯・下の歯ともに内側に入り、横顔のEラインも理想的なお口元に仕上がりました。
値上げをできるだけしないために企業努力しております
人件費をはじめ原材料・技工物の高騰や諸経費の値上がりがございますが、より多くの患者様に良質な治療を受けていただきお喜びいただけるように企業努力して参ります。
値上げを極力行わないように努めますので、今後ともよろしくお願い申し上げます。
マウスピース矯正
| 精密検査・診断 | ¥33,000 |
| 装置料 | 1step ¥55,000 |
| 調整料 | ¥5,500/回 |
ご希望と現在のお口元の状態に合わせて、患者様おひとりおひとりに合ったステップ数のお見積もりをお出しいたします。
選べる柔軟なお支払い方法

当院では、通常のクレジットカードや現金でのお支払い方法のほかにも以下のような柔軟なお支払い方法に対応しております。
お支払い方法についても無料カウンセリングでお気軽にご相談ください。
院内無利息分割払い
お支払いのペースに合わせて治療を進める院内無利息分割払いに対応しております。治療本数や治療期間をお支払いのご希望に合わせてご相談が可能です。院内無利息分割払いの最大分割回数は特に決まっておりません。
最大84回分割まで可能なデンタルローン
最大84回分割まで可能なデンタルローンにも対応しております。お支払いペースに関係なく治療を進めたい方・より分割回数を多くされたい方にもおすすめです。
LUMINEキャンペーンでよりお得に
年数回のLUMINEキャンペーンによるお支払いで、よりお得に治療を受けていただくことが出来ます。LUMINEカードはキャンペーン期間外でもLUMINE内でのお支払いで通年5%OFFになるほか、即日発行も可能です。
各種QRコード・クレジットカード決済に対応
全ての審美歯科治療でpaypay・楽天ペイ・d払いなど、各種QRコード決済が行えます。ご希望に合ったお支払い方法で治療を受けていただけます。
高度な技術の治療をリーズナブルに
お口元の美しさと健康は、患者様の生涯にわたっての若々しさ・健康・美しさに直結します。当院では、長く美しく健康的なお口元をキープしていただける質の高い治療を、できる限りリーズナブルに患者様にご提供いたします。
高技術の治療をできるだけ多くの患者様に受けていただけるよう努めています。
遠方からお越しの方に向けた交通費一部補助制度について
安心の明朗会計制度

ホワイトホワイトでは、費用について無料カウンセリング時に詳しくご案内しております。
お出しするお見積りには、検査代・麻酔代・針代・処置代・お薬代など治療に必要なすべての金額が含まれています。
また、万が一お出ししたお見積り以外に別途費用がかかる可能性のある場合は、その都度患者さまとご相談したうえで進めてまいります。明朗会計制度を設けておりますので、ご安心ください。
カウンセリングも無料で実施しておりますので、費用についてご不明な点がございましたらお気軽にご相談ください。
English
中文(简)
5/14-5/20の期間、ルミネカードによるお支払いで、






