- HOME
- ブラックマージン(歯茎の黒ずみ)治療
ブラックマージン
(歯茎の黒ずみ)治療
ブラックマージンの改善には、古い被せ物を外して新しいセラミックを作り直す再治療が必要になるケースがあります。詳しくは セラミックの再治療について もご覧ください。

前歯3本のケース
| 施術内容 | 費用(税込) | 期間 |
| セミデザイン3本 | ¥405,000 | 2ヶ月間 |
| メタルコアの除去3本 | ¥45,000 | |
| ブラックマージン除去治療3本 | ¥66,000 | |
| コア築または支台歯調整料3本 | ¥45,000 |
分割10回払いの場合¥56,100/月(無利子)×10回=¥561,000
自由診療。治療期間、費用、施術の流れ、仕上がりに関しては個人差があります。施術はシンプルデザインセラミック1本¥110,000。治療期間約2ヶ月半。
副作用(リスク):一時的に歯がしみたり、かみ合わせの違和感を感じることがあります。
こちらのケースでは金属の土台を取り除き、歯根の内側の変色している層を除去するブラックマージン治療を行い、その後にセラミッククラウンをセットしました。
治療が終わるころには歯ぐきの色は改善され、健康的なピンク色に戻っています。お口元が明るくなったことで、お顔全体が明るく若々しい印象となりました。
前歯の歯茎の黒ずみを短期解消
| 施術内容 | 費用(税込) | 期間 |
| シンプルデザイン3本 | ¥330,000 | 2ヶ月間 |
| コア築または支台歯調整料3本 | ¥45,000 |
分割5回払いの場合¥75,000/月(無利子)×5回=¥375,000
※自由診療。治療期間、費用、施術の流れ、仕上がりに関しては個人差があります。
副作用(リスク):一時的に歯がしみたり、かみ合わせの違和感を感じることがあります。
以前行った被せ物と歯ぐきの間が黒ずんでしまう、ブラックマージンにお悩みでカウンセリングに来院されました。
前歯3本の差し歯をセラミックに交換することで、歯茎の黒ずみや差し歯のお色・形を改善しました。
まわりの歯と比べてもナチュラルな白さ・お色のグラデーション・形に仕上がります。
前歯2本のブラックマージンを改善
| 施術内容 | 費用(税込) | 期間 |
| セミデザイン2本 | ¥270,000 | 1ヶ月半 |
| コア築または支台歯調整料2本 | ¥30,000 |
分割5回払いの場合¥60,000/月(無利子)×5回=¥300,000
※自由診療。治療期間、費用、施術の流れ、仕上がりに関しては個人差があります。
副作用(リスク):一時的に歯がしみたり、かみ合わせの違和感を感じることがあります。
以前行った被せ物が変色を起こしてきたのでキレイにしたい とご相談に見えました。
歯ぐきにも変色が及び、前歯が目立って困るとのお悩みでした。
歯並びも同時に整えたいと希望され、前歯2本をオールセラミッククラウンでキレイにしたいと選択されました。
かぶせ物だけでなく、土台の再治療から行います。白いグラスファイバー製のコア(土台)に立て直し、サイズや角度を調整しながらクラウンをセットします。
変色や黒ずみを引き起こしている金属が取り除かれたことで、全体の施術が終わるころには歯ぐきの変色も改善されていました。
前歯をトータルで美しく
| 施術内容 | 費用(税込) | 期間 |
| シンプルデザイン8本 | ¥880,000 | 1ヶ月半 |
| コア築または支台歯調整料8本 | ¥120,000 |
分割10回払いの場合¥100,000/月(無利子)×10回=¥1,000,000
※自由診療。治療期間、費用、施術の流れ、仕上がりに関しては個人差があります。
副作用(リスク):一時的に歯がしみたり、かみ合わせの違和感を感じることがあります。
前歯に行った以前の治療跡の変色が気になると、カウンセリングに来院されました。
笑った時に見える前歯の歯並びなども気にされていて、トータルでお口元をキレイにしたいとおっしゃっていました。
笑った時に特によく目立つ、上の前歯8本にオールセラミッククラウンを選択されました。
歯並びだけでなくお顔全体とバランスを見ながら、笑顔がもっとも美しく見えるように調整を行いながらセットしていきます。
歯の形や角度などをご希望通りに調整し、白く明るいお口元に仕上がりました。
歯茎の内側から立ち上げ、オールセラミックの透明感を生かすことで、自然な仕上がりとなっています。
治療跡が変色した差し歯をセラミックに交換
| 施術内容 | 費用(税込) | 期間 |
| セミデザイン4本 | ¥540,000 | 1ヶ月半 |
| コア築または支台歯調整料4本 | ¥60,000 | |
| 歯根の神経の治療2本 | ¥22,000 |
分割10回払いの場合¥62,200/月(無利子)×10回=¥622,000
※自由診療。治療期間、費用、施術の流れ、仕上がりに関しては個人差があります。
副作用(リスク):一時的に歯がしみたり、かみ合わせの違和感を感じることがあります。
前歯の変色が気になると、カウンセリングに来院されました。
数年前に行った治療跡が変色を起こしている状態でした。
歯ぐきの黒ずみや被せ物の変色は、セットする被せ物にプラスチックや金属が含まれている事が大きな原因です。
当院ではプラスチックや金属を一切を含まない「オールセラミッククラウン」をセットしますので、施術後に変色・黒ずみなどを引き起こすことはありません。
全体のバランスを考慮し、前歯4本にオールセラミッククラウンでの治療を希望されました。
治療が完了するころにはブラックマージンも改善され、ハリのある歯ぐきに回復されていました。
色みや透明感にもとても満足して頂き、コンプレックスが解消されたと話していらっしゃいました。
再治療をご検討の方へ。総院長による無料ご相談
古いセラミックの色やブラックマージン(歯茎の黒ずみ)の治療をご希望の方はご相談ください。恵比寿本店、有楽町店、新宿店で随時無料カウンセリングを行っています。原因を詳しく調べて、ご希望に沿った治療方法をいくつかご提案させていただきます。
お悩みに合わせた治療症例をInstagramでチェック
25年以上に渡り審美治療専門だからこその圧倒的な症例数。お悩みに合わせた症例は、Instagram内ハイライトや各投稿から詳しくご覧いただけます。
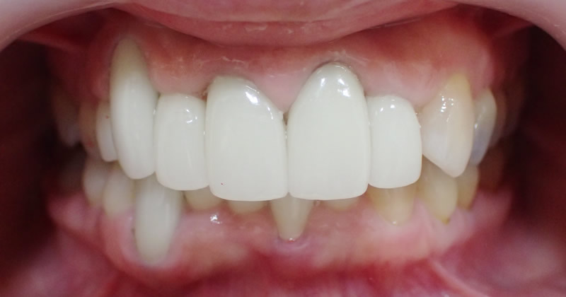
ブラックマージンとは?
前歯3本が典型的なブラックマージンのケース
以前に治療を行った歯の根元や、歯ぐきが黒ずんでしまっていませんか?
セットした被せ物や土台にプラスチックや金属が使用されていたりすると、それらの成分が元となって、歯と歯ぐきの間を黒く変色させてしまうことがあります。この黒いラインをブラックマージンと呼びます。
また、歯ぐき自体は黒く変色していなくても、内側の黒い土台が見えることで歯ぐきが黒ずんで見えることもあります。
ブラックマージンはなぜ起こる?原因と見分け方
ブラックマージン(歯茎の黒ずみ)は、差し歯の根元が黒い・歯ぐきが黒ずむといった症状として現れ、主に過去の差し歯や被せ物に使用された素材や歯ぐきの変化によって起こります。
主な原因
- 金属を使用した差し歯・土台:金属イオンが歯ぐきに溶け出し黒ずみの原因になります
- 歯ぐきの後退:加齢や歯周病により歯ぐきが下がり、内部の金属が見えることがあります
- 被せ物の適合不良:歯ぐきとの隙間から変色が進行するケース
セルフチェック(見分け方)
- 差し歯の根元だけ黒い → ブラックマージンの可能性が高い
- 歯ぐき全体が黒い → メラニン色素沈着の可能性
- 以前の治療から数年後に黒くなった → 素材(差し歯・被せ物)由来の可能性
原因によって適切な治療方法が異なるため、正確な診断が重要です。
ブラックマージン(歯茎の黒ずみ)の原因
裏側の素材・セットの方法
原因は様々ありますが、もっとも多いタイプは、被せものの裏側が金属で構成されているものをセットし、治療後歯ぐきが下がったりしてしまうことで、金属部分が露出して見えるものです。他にも、土台部分に使用された金属の成分が歯ぐきに流出して変色させてしまったり、被せものをセットする際に歯ぐきの内側に適切にセット出来なかったりしたことも原因になります。
これらの状態は、被せものと土台に金属やプラスチックをまったく含まないものを再セットすることで、元の健康的な歯ぐきに戻すことが出来ます。また当院では、高い治療技術で被せものを歯ぐきの内側0.5mmにセットしますので、自然で美しい状態に仕上げることが出来ます。
「土台」の金属
土台の素材に金属が含まれている場合、治療数年後に金属成分が流出してブラックマージン(歯茎の黒ずみ)を引き起こすことがあります。この場合まず被せものを外し、土台部分を白いグラスファイバー製のコアに変えることで再発を防ぎ、セットした被せものをより白く明るく仕上げることが出来ます。
自由診療。治療期間、費用、施術の流れ、仕上がりに関しては個人差があります。施術はコア築または支台歯調整料1本¥15,000。治療期間約1ヶ月半。
副作用(リスク):一時的に歯がしみたり、かみ合わせの違和感を感じることがあります。
ブラックマージンを放置するとどうなる?リスクと注意点
ブラックマージン(歯茎の黒ずみ)は見た目の問題だけと思われがちですが、放置することでさまざまなリスクが生じる可能性があります。
見た目の悪化
歯ぐきの黒ずみは徐々に目立ちやすくなり、笑ったときや会話時に気になるケースが増えていきます。特に前歯の場合、第一印象に影響を与えることもあります。
歯ぐきの後退・変化の進行
歯ぐきがさらに下がることで、黒ずみの範囲が広がるだけでなく、被せ物の境目がより目立つようになることがあります。
被せ物の適合不良によるトラブル
適合が悪い被せ物を放置すると、すき間から細菌が入り込み、むし歯や歯周病のリスクが高まる可能性があります。
再治療が複雑になる可能性
状態が進行すると、単純な被せ物のやり直しだけでなく、歯ぐきの処置や土台の再治療が必要になる場合もあります。
ブラックマージンは早めに適切な診断・治療を行うことで、より自然で負担の少ない改善が可能です。気になる場合は早めのカウンセリングをおすすめします。
ブラックマージンの治療方法
ブラックマージン(歯茎の黒ずみ)は、差し歯のやり直しやセラミック治療によって、自然な見た目へ改善することが可能です。
ブラックマージンの多くは、原因となっている差し歯や土台を取り除き、再度適切な素材で治療することで改善できます。
- オールセラミッククラウンによる改善
- 金属を使用しないグラスファイバーコアへの交換
- 歯ぐきとの適合精度を高めた再セット
ブラックマージンの治療は、見た目の改善だけでなく、差し歯や被せ物の再治療の一環として行われることが多いのが特徴です。
なお、ブラックマージンは見た目だけでなく再発防止の観点からも治療の精度と素材選びが重要です。
差し歯やセラミックのやり直しについて詳しく知りたい方は、以下もご覧ください。
治療のポイント
01まずは原因をさぐります
まず現在のお口の状態を確認し、黒ずみの原因となっているものを探します。多くの場合、数年前に治療を行った際に使われた金属が原因となっています。被せ物をセットする時に歯ぐきとの間に隙間があった場合、そこからさらに広がるケースも多いです。
必要に応じて、断層撮影の出来るCTスキャニングを行います。レントゲンの検査だけでは分からない歯の断面をCTスキャニングすることで古い金属の太さや深さ、残された歯質の厚みなどを確認することが出来ます。
02古いパーツを徹底的に取り除く
土台が変色を起こしている場合には、土台の除去と神経部分の再処置からスタートします。神経の跡には先端までしっかりと消毒し、きちんと薬剤を詰めることがポイントです。
また土台の素材にも金属やプラスチックは一切使用せず、白いグラスファイバー製の土台(コア)を建立します。このあと透明感のあるセラミッククラウンをかぶせる際に、土台が白いとより自然に仕上がる効果があります。
自由診療。治療期間、費用、施術の流れ、仕上がりに関しては個人差があります。施術はコア築または支台歯調整料1本¥15,000。治療期間約1ヶ月半。
副作用(リスク):一時的に歯がしみたり、かみ合わせの違和感を感じることがあります。

- \ 総院長からワンポイント /
黒ずみの原因物質をとにかく徹底的に取り除くのがポイント!
金属やプラスチックを含まないクラウンをセット
土台の上には、オールセラミックのクラウンをセットします。クラウンに金属やプラスチックが含まれていると、数年後に変色やブラックマージンを引き起こしてしまいますので、当院ではそれらを一切含まない良質なジルコニア素材でつくられたクラウンを採用しています。
040.5mm内側にセットすることで自然に
クラウンをセットする時、歯ぐきとの隙間に注意します。少しでも離れてしまうと不自然な仕上がりとなり、年を重ねて歯ぐきが下がってくると、隙間はさらに目立ってしまいます。
当院ではセットする際、歯ぐきの内側にクラウンを0.5mm入れ込みます。つまり歯ぐきとの隙間は-0.5mm。より自然に仕上がるよう、この0.5mmにこだわっています。
05歯ぐきの変色は自然に回復
すべての処置が完了する頃、歯ぐきの変色は明るいピンク色に回復しています。ブラックマージンの治療には、原因となっているパーツの完全な除去が必要です。すべて取り除き、変色を起こさない素材で再治療することで、自然に本来の健康的な歯ぐきに戻りますのでご安心ください。
06自然な仕上がりへのこだわり
歯ぐきの内側へ入れ込む技術をはじめとして、当院では自然な仕上がりにとことんこだわっています。クラウンの色を決める際には専用のパソコンでめいっぱいに引き伸ばし、細かなグラデーションをかけていきます。
先端部分には透明感を入れ、歯の形やサイズ等を、かみ合わせを確認しながら調整を行います。お顔全体とのバランスも考慮し、理想的な、自然な仕上がりをご提供しています。
遠方からお越しの方に向けた交通費一部補助制度について
遠方からお越しの方に向けた補助制度がございます。また、できるだけ通院回数を減らしたプランなど、柔軟な治療スケジュールを組ませていただきます。
短期集中治療について
遠方からお越しの方やできるだけ治療回数を減らしたい方に向けた、短期集中治療をご用意しております。
一度のご来院でできるだけ治療を進めることが可能です。
私たちが治療を担当いたします
総院長 石井府中
25年以上にわたり、セラミック治療・矯正治療を中心とした審美歯科治療を行ってきた実績。ミリ単位まで美しい治療は、多くの芸能人の方にも定評があります。恵比寿本店・ルミネ有楽町店を担当。
審美歯科医師/ルミネ新宿院 院長 石井李奈
女性ならではのきめ細かな審美歯科治療をご提案。患者様に寄り添った丁寧な治療は、数多くの患者様にお喜びいただいております。恵比寿本店・ルミネ新宿店を担当。
※本ページは審美歯科治療に25年以上従事する医師が監修しています。
柔軟なお支払い方法に対応PAYMENT
各種クレジットカードによる分割払いはもちろんのこと、患者さまのご希望に合わせた柔軟なお支払い方法に対応しております。ご希望のお支払い方法にできる限り寄り添いますので、お支払いについてもお気軽にご相談ください。
- 院内無利息分割払い無利息での現金やクレジットカードによる院内での分割払いが可能です。お支払いペースもご相談ください。
- LUMINEカードでのお支払い各店舗がLUMINEにもございますので、LUMINEカードでのお支払いが可能です。年に数回のLUMINEバーゲンでよりお得に審美治療を受けていただけます。
- デンタルローンに対応webサイトから簡単にお申込みのできるオリコのデンタルローンに対応しております。最大84回まで分割可能です。
- 各種QRコード決済が使えます
すべての審美歯科治療でpaypay・楽天ペイ・d払いなど、各種QRコード決済が行えます。柔軟なお支払い方法について
ブラックマージン(歯茎の黒ずみ)治療についてまずは無料相談

ホワイトホワイトは、審美治療を専門として25年以上、患者様おひとりおひとりに寄り添った治療を行っております。
見た目の美しさだけでなく、長く健康的なお口元をキープしていただけるように治療に努めております。まずは無料カウンセリングでご相談ください。
ブラックマージン(歯茎の黒ずみ)よくある質問
ブラックマージン(歯茎の黒ずみ)については、「自然に治るのか」「治療は痛いのか」「再発しないのか」など、多くのご質問をいただきます。ここでは、患者さまから特によくいただく疑問について、原因や治療の考え方とあわせてわかりやすく解説します。
- Q1. ブラックマージンは自然に治りますか?
A ブラックマージンは自然に改善することはほとんどありません。原因の多くが差し歯や土台に使用されている金属や適合不良にあるため、根本的に改善するには再治療が必要になるケースが一般的です。
専門家コメント:総院長 石井府中
ブラックマージンは一時的な着色ではなく、内部構造や素材に起因していることが多いため、セルフケアでは改善が難しい状態です。見た目だけで判断せず、原因を正確に診断することが重要です。- Q2. ブラックマージンの治療は痛いですか?
A 多くの場合、差し歯や被せ物のやり直しが中心となるため、必要に応じて麻酔を使用しながら治療を行います。痛みは最小限に抑えられることが一般的です。
- Q3. ブラックマージンと歯ぐきのメラニン色素沈着の違いは何ですか?
A ブラックマージンは差し歯の根元に沿って黒く見えるのが特徴で、被せ物の素材や歯ぐきの後退が原因となります。一方、メラニン色素沈着は歯ぐき全体が均一に黒ずむ傾向があります。
- Q4. どのくらいの期間で治療できますか?
A 症状や本数によって異なりますが、一般的には2か月程度・数回の通院で治療が完了するケースが多いです。精密な型取りや仮歯調整を行うことで、より自然な仕上がりを目指します。
- Q5. 保険診療でブラックマージンは治せますか?
A 保険診療でも被せ物のやり直しは可能ですが、使用できる素材に制限があります。見た目の自然さや再発防止を重視する場合は、自費診療(セラミック治療)が選択されることが多いです。
English
中文(简)
5/14-5/20の期間、ルミネカードによるお支払いで、














