- HOME
- 口ゴボ(くちごぼ)を治したい
東京で口ゴボ治療・矯正|銀座・新宿・恵比寿のホワイトホワイト
ホワイトホワイトは、東京・銀座(ルミネ有楽町)・新宿・恵比寿に展開する審美歯科専門クリニックです。
口ゴボ(くちごぼ)のお悩みに対し、セラミック矯正を中心とした短期間での改善治療を行っています。

口ゴボ治療のスペシャリスト
審美歯科医師/ルミネ新宿院 院長 石井李奈
※口ゴボ治療・セラミック矯正の症例を多数担当
セラミック矯正による口ゴボ改善を専門とし、前歯の突出・Eライン・スマイルラインまでトータルで設計。
短期間で美しい横顔へ導く症例を多数手がけています。
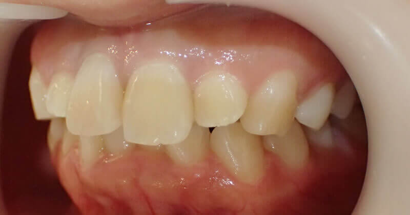
口ゴボ(ゴボ口)とは?
口ゴボ(ゴボ口)とは、唇や歯が前方に突出し、Eラインが崩れている状態を指します。Eラインとは、鼻先と顎先を結んだラインのことで、Rickettsが提唱した横顔の審美基準です。
具体的には、唇が前に突き出している・鼻の下が長く見える・口元全体に突出感があるといった特徴があります。
主な原因は、出っ歯(上顎前突)や上下顎前突、歯の大きさ・歯並びなどです。
改善方法には、セラミック矯正・マウスピース矯正・外科手術などがあります。横顔の印象やEラインを整えたい方がご相談に来られる症状の一つです。
口ゴボ治療について
口ゴボ治療の担当医・監修体制
口ゴボ治療は、審美歯科医師/ルミネ新宿院 院長 石井李奈が中心となり担当しています。
セラミック矯正による前歯の位置コントロール・Eライン設計・スマイルラインまで総合的にデザインします。
また、治療全体は25年以上の実績を持つ総院長 石井府中が監修し、審美性と機能性の両面から安全性を担保しています。

セラミック矯正で口ゴボを短期改善
セラミック矯正による口ゴボ治療の審美設計監修
セラミック矯正を用いた口ゴボ治療については、セラミック治療を専門とする審美歯科医師/ルミネ新宿院 院長 石井李奈が、歯の形・大きさ・色調・スマイルラインのデザイン監修を行っています。
前歯2本による口ゴボ治療
担当医:石井李奈(審美歯科医師/ルミネ新宿院 院長・口ゴボ治療・セラミック矯正担当)/症例監修:石井府中(総院長)
自由診療。治療期間、費用、施術の流れ、仕上がりに関しては個人差があります。施術はシンプルデザインセラミック1本¥110,000。治療期間約2ヶ月半。
副作用(リスク):一時的に歯がしみたり、かみ合わせの違和感を感じることがあります。
前に突出していた前歯2本をセラミック矯正により内側に入れることで、口ゴボを改善しました。
わずか二か月程度と、ほかの矯正治療に比べて短期間で口ゴボを解消することができます。
前歯4本による口ゴボ治療
担当医:石井李奈(審美歯科医師/ルミネ新宿院 院長・口ゴボ治療・セラミック矯正担当)/症例監修:石井府中(総院長)
自由診療。治療期間、費用、施術の流れ、仕上がりに関しては個人差があります。施術はシンプルデザインセラミック1本¥110,000。治療期間約2ヶ月半。
副作用(リスク):一時的に歯がしみたり、かみ合わせの違和感を感じることがあります。
上の前歯4本にセラミック矯正を行い、口ゴボを解消しました。
前歯が内側に入ることにより口が閉じやすくなり、横顔の印象が大きくアップしました。
後戻りなく口ゴボを改善
担当医:石井李奈(審美歯科医師/ルミネ新宿院 院長・口ゴボ治療・セラミック矯正担当)/症例監修:石井府中(総院長)
自由診療。治療期間、費用、施術の流れ、仕上がりに関しては個人差があります。施術はシンプルデザインセラミック1本¥110,000。治療期間約2ヶ月半。
副作用(リスク):一時的に歯がしみたり、かみ合わせの違和感を感じることがあります。
前歯を内側に入れることで、口ゴボを解消し理想的なEラインに近づけることができました。
セラミック矯正による口ゴボ治療では、後戻りの心配がないことも特徴です。理想的な口元を長くキープしていただけます。
前歯6本に口ゴボ治療を行ったケース
担当医:石井李奈(審美歯科医師/ルミネ新宿院 院長・口ゴボ治療・セラミック矯正担当)/症例監修:石井府中(総院長)
自由診療。治療期間、費用、施術の流れ、仕上がりに関しては個人差があります。施術はシンプルデザインセラミック1本¥110,000。治療期間約2ヶ月半。
副作用(リスク):一時的に歯がしみたり、かみ合わせの違和感を感じることがあります。
上の前歯6本にセラミック矯正を行い、口ゴボを改善しました。また、下の歯やセラミック矯正を行う横の歯にホワイトニングを行うことで、お口元全体の白さがトーンアップしました。
口ゴボの解消と同時に歯全体が白くなることで、お顔の印象自体が大きく変わることも珍しくありません。セラミック矯正を行う本数が多い方が、よりしっかりと歯並び全体が内側に入りやすいです。
口ゴボの原因
口ゴボの原因としては、以下のようなものが挙げられます。
- 歯が前に突出している(出っ歯)
- 前歯がもともと大きい
- 歯並びは良いけれど上下の歯が前に出ている(上下顎前突)
- 骨格が小さい
- 顎が小さい
そのほか口呼吸や幼少期の指しゃぶり・舌で前歯を押し出す癖なども口ゴボの原因となります。
口ゴボは前歯の傾きが原因で起こる「出っ歯」と見た目が似ていることがあります。症状によっては出っ歯治療で改善できるケースもあるため、出っ歯の治療についてはこちらもあわせてご確認ください。
お悩みに合わせた治療症例をInstagramでチェック
25年以上に渡り審美治療専門だからこその圧倒的な症例数。お悩みに合わせた症例は、Instagram内ハイライトや各投稿から詳しくご覧いただけます。
セラミック矯正による
口ゴボ治療の特徴
口ゴボを改善するための歯科治療としては、セラミック矯正が適しています。歯の傾きや歯並びはもちろん、形や大きさ、色までを同時に整えることが可能です。
口ゴボを改善するための歯科治療としては、セラミック矯正が適しています。歯の傾きから歯並びはもちろん、形や大きさ、色までを同時に整えることが可能です。
よく比較される美容外科治療では、シリコンを鼻や顎に入れて高くする手術が代表的ですが、痛みや腫れなどのダウンタイムがあるため、日常生活に支障が出ないようにする必要があります。
セラミック矯正ならダウンタイムも必要なく、治療中の見た目も生活に支障を及ぼすことがありませんので、快適に治療期間を過ごすことができます。
わずか2か月と短期間で口ゴボを改善
セラミック矯正は、わずか2か月から3か月と短期間で口ゴボを改善することができます。
ほかの矯正治療に比べて短期間で口ゴボを解消でき、ワイヤーやブラケットといった矯正装置を装着する必要もありません。
【各矯正治療の治療期間】
| ワイヤー矯正 | 約2年程度 |
| マウスピース矯正 | 1年~2年程度 |
| セラミック矯正 | 2か月~3か月 |
| 美容整形(セットバック法) | 入院または日帰り手術+ダウンタイム |
後戻りの心配なく口ゴボを解消できる

一般的なワイヤー矯正やマウスピース矯正のように歯を少しずつ動かす矯正治療の場合、治療完了後に多少の後戻りが生じます。
一方、セラミック矯正は歯を削り被せ物をセットすることで歯並びを改善する治療法になります。そのため、治療完了後に後戻りが生じる心配がありません。
治療後の理想的なEラインを長くキープしていただけます。
通常通りの生活を送りながら治療できる

よく比較される美容外科治療では、シリコンを鼻や顎に入れて高くする手術が代表的です。外科手術の場合、痛みや腫れによるダウンタイムが生じます。そのため、日常生活に支障が出ないようにする必要があります。
セラミック矯正の場合ダウンタイムが必要なく、治療中も見た目や生活に支障を及ぼすことがありません。
歯を削った後にも美しい見た目の仮歯をお入れいたします。そのため、快適に治療期間をお過ごしいただけます。
そのほかセラミック矯正での口ゴボ治療のメリット
- 理想的な歯並びにすることができる
- 引き締まったスマイルラインになる
- 理想的な横顔のEラインに仕上げることができる
- 口呼吸による口腔内・唇の乾燥がなくなる
- 色やサイズ、バランスも同時に整えられる
- 仮歯で仕上がりイメージを確認できる
セラミック矯正による口ゴボ治療のデメリット
- 神経の処置が必要になる場合が多い
- 神経を取らない場合、大きな傾きの改善は難しい
- 重度の口ゴボはセラミック矯正では治せない
そのほかの口ゴボ治療
マウスピース矯正

歯を削らずに、透明なマウスピースを装着することで口ゴボを改善していきます。
お食事や歯磨きの時にはマウスピースを簡単に取り外していただけるので、清潔にお口の中を保ちながら矯正治療を進めていただけます。
そのほかの矯正治療
ホワイトホワイトでは、裏側矯正・表側矯正・複数の矯正治療を組み合わせたハイブリッド矯正などの矯正治療をご用意しております。
動画でみる口ゴボ治療
口ゴボ治療についてよくあるQandA

遠方からお越しの方に向けた交通費一部補助制度について
遠方からお越しの方に向けた補助制度がございます。また、できるだけ通院回数を減らしたプランなど、柔軟な治療スケジュールを組ませていただきます。
短期集中治療について
遠方からお越しの方やできるだけ治療回数を減らしたい方に向けた、短期集中治療をご用意しております。
一度のご来院でできるだけ治療を進めることが可能です。
私たちが治療を担当いたします
総院長 石井府中
25年以上にわたり、セラミック治療・矯正治療を中心とした審美歯科治療を行ってきた実績。ミリ単位まで美しい治療は、多くの芸能人の方にも定評があります。恵比寿本店・ルミネ有楽町店を担当。
審美歯科医師/ルミネ新宿院 院長 石井李奈
女性ならではのきめ細かな審美歯科治療をご提案。患者様に寄り添った丁寧な治療は、数多くの患者様にお喜びいただいております。恵比寿本店・ルミネ新宿店を担当。
※本ページは審美歯科治療に25年以上従事する医師が監修しています。
柔軟なお支払い方法に対応PAYMENT
各種クレジットカードによる分割払いはもちろんのこと、患者さまのご希望に合わせた柔軟なお支払い方法に対応しております。ご希望のお支払い方法にできる限り寄り添いますので、お支払いについてもお気軽にご相談ください。
- 院内無利息分割払い無利息での現金やクレジットカードによる院内での分割払いが可能です。お支払いペースもご相談ください。
- LUMINEカードでのお支払い各店舗がLUMINEにもございますので、LUMINEカードでのお支払いが可能です。年に数回のLUMINEバーゲンでよりお得に審美治療を受けていただけます。
- デンタルローンに対応webサイトから簡単にお申込みのできるオリコのデンタルローンに対応しております。最大84回まで分割可能です。
- 各種QRコード決済が使えます
すべての審美歯科治療でpaypay・楽天ペイ・d払いなど、各種QRコード決済が行えます。柔軟なお支払い方法について
口ゴボ治療について無料カウンセリングでご相談ください
ホワイトホワイトでは、患者様それぞれの口ゴボの原因をお調べし、そのうえで最適な治療をご提案いたします。
理想とされるお口元や治療へのご希望を患者様と共有し、おひとりおひとりに寄り添った治療プランを考えていきます。
口ゴボ治療についてまずは無料カウンセリングでご相談ください。
口ゴボ治療に関するよくあるご質問
口ゴボ治療についてよくいただくご質問をまとめました。治療方法やEラインへの影響など、気になる点をご確認ください。
- Q1. 口ゴボはセラミック矯正だけで治りますか?
A 口ゴボの原因が歯の傾きや前歯の突出にある場合、セラミック矯正で改善できるケースが多くあります。
ただし、骨格的な上下顎前突が強い場合には、ワイヤー矯正や外科的治療が必要になることもあります。専門家コメント:総院長 石井府中
まずは歯の問題か骨格の問題かを見極めることが重要です。審美性と機能性の両面から総合的に診断いたします。
無料カウンセリング時におひとりおひとりの口ゴボの原因に応じて、最適な治療を詳しくご案内いたします。- Q2. 口ゴボ治療でEラインは整いますか?
A 前歯を内側に入れることで、横顔のEラインが改善するケースは多く見られます。
ただし、鼻や顎の形状とのバランスも関係するため、個人差があります。専門家コメント:石井李奈(審美歯科医師/ルミネ新宿院 院長・口ゴボ治療・セラミック矯正担当)
Eラインは単に歯を引っ込めるだけでなく、唇の厚みやスマイルラインとのバランス設計が重要です。
仮歯の段階で横顔も確認しながら丁寧に仕上げていきます。- Q3. セラミック矯正で後戻りはありますか?
A 歯を削り被せ物で形態を整える治療のため、一般的な歯列矯正のような後戻りは起こりません。
ただし、噛み合わせや生活習慣により経年的な変化が出ることはあります。専門家コメント:総院長 石井府中
後戻りがない設計を行うことが重要です。噛み合わせまで考慮した治療計画を立てています。
また、当院では半年に一度セラミックチェックというメンテナンスにお越しいただいています。
定期的なメンテナンスを行うことで、より長く理想的なお口元をキープいただけます。- Q4. 口ゴボ治療はどのくらいの期間がかかりますか?
A 治療方法によって異なります。
- セラミック矯正:約2〜3か月
- マウスピース矯正:約1〜2年
- ワイヤー矯正:約2年程度
また、期間は症状や本数によっても前後します。
専門家コメント:石井李奈(審美歯科医師/ルミネ新宿院 院長・口ゴボ治療・セラミック矯正担当)
セラミック矯正はほかの治療に比べて、短期間に美しく整えることができるのが特徴の一つです。
遠方からお越しの方や、できるだけ短期間に治療をされたいといった方にも対応しております。
無料カウンセリング時に治療完了のご希望目安がありましたら、ご相談ください。- Q5. 口ゴボ治療は痛みがありますか?
A セラミック矯正では麻酔を使用するため処置中の痛みはほとんどありません。術後に一時的な違和感やしみる症状が出ることがあります。その場合には予めご説明のうえ、必要に応じてお痛み止めを処方いたします。
専門家コメント:総院長 石井府中
痛みを最小限に抑える配慮を徹底しています。不安な点は事前に丁寧にご説明いたしますので、ご安心ください。
English
中文(简)
すべての審美歯科治療でLUMINEカードをご利用いただけます。










