- HOME
- 差し歯のやり直し・再治療
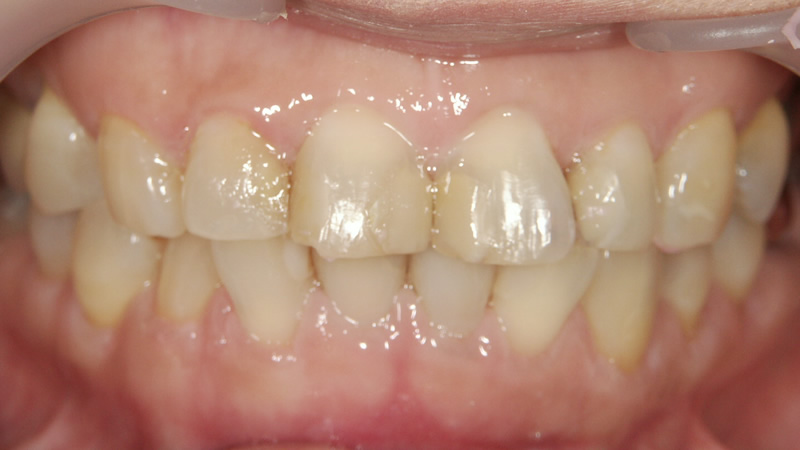
東京で差し歯のやり直し・再治療|変色・黒い差し歯を白いセラミックへ
このようなお悩みはありませんか?
- 差し歯の色だけ浮いて見える
- 歯ぐきの境目が黒くなっている(ブラックマージン)
- 差し歯が古くなり黄ばんできた
- 他院で入れた差し歯を自然な見た目にやり直したい
- 前歯の差し歯をセラミックに変えたい
差し歯は時間の経過とともに変色や適合不良が起こることがあります。
当院では、審美性と機能性の両立を重視した差し歯のやり直し・再治療を行っています。
差し歯のやり直しで自然な白い歯へ

まわりの歯と比べて違和感のあるお色や厚みの差し歯や銀歯を、セラミック治療によりナチュラルな白い歯にしませんか?
時間が経っても変色の心配のないセラミッククラウンと、金属を一切使用しない白い土台に入れ替えて、若々しいお口元へと導きます。
金属を一切使用しない白い土台と被せ物による再治療
グラスファイバー製の白いコア(土台)
当院では差し歯・銀歯の再治療に金属やプラスチックを一切含まない、良質なジルコニア素材のオールセラミッククラウンを使用しております。
また土台にも一切金属を使用せず、白いグラスファイバー製の土台を立てることもポイントです。長期にわたって変色の心配がなく、ナチュラルなツヤと透明感、白く明るい仕上がりをキープすることができます。
美しく健康的な白い歯を、長く維持していただけます。
差し歯・銀歯の再治療例
差し歯の見た目をより自然に改善したい場合、セラミックによる再治療を行うケースもあります。
詳しくは セラミック再治療 をご覧ください。
歯茎2本の黒ずみをセラミック治療で改善
| 施術内容 | 費用(税込) | 期間 |
| シンプルデザイン オールセラミッククラウン2本 | ¥220,000 | 1か月半 |
| コア築または支台歯調整料 | ¥15,000×2=30,000 | |
| 仮歯 | ¥5,000×2=10,000 |
分割5回払いの場合¥52,000/月(無利子)×5回=¥260,000
※自由診療。治療期間、費用、施術の流れ、仕上がりに関しては個人差があります。
副作用(リスク):一時的に歯がしみたり、かみ合わせの違和感を感じることがあります。
前歯2本に差し歯治療をして時間が経ったことで、歯茎が黒ずんで見えた方の症例です。白い土台に入れ替え、セラミックの被せ物に交換しました。
治療後はナチュラルな透明感のある前歯に仕上がりました。金属を一切使用しないセラミック治療では、時間が経過しても変色や歯茎の黒ずみの心配がありません。
歯茎の黒ずみを治したい
| 施術内容 | 費用(税込) | 期間 |
| シンプルデザイン3本 | ¥330,000 | 2ヶ月間 |
| コア築または支台歯調整料3本 | ¥45,000 |
分割5回払いの場合¥75,000/月(無利子)×5回=¥375,000
※自由診療。治療期間、費用、施術の流れ、仕上がりに関しては個人差があります。
副作用(リスク):一時的に歯がしみたり、かみ合わせの違和感を感じることがあります。
被せ物の中に金属が含まれていることが原因で、前歯2本が「ブラックマージン」といわれる歯ぐきが黒い状態となっていました。またお口元全体の歯の黄ばみが気になるとのことでした。
カウンセリングの結果、前歯2本にオールセラミックをセットし、まわりの歯に3回のホワイトニングコースを行うプランを選択されました。
自然な色とツヤのセラミックがセットされ、周囲の歯とは見分けがつかないほど、自然な仕上がりとなりました。歯ぐきの黒ずみも改善され、お顔全体が明るい印象になりました。
ご自身の歯はそのままに差し歯4本を再治療
| 施術内容 | 費用(税込) | 期間 |
| シンプルデザイン オールセラミッククラウン4本 | ¥440,000 | 1か月半 |
| コア築または支台歯調整料 | ¥15,000×4=60,000 | |
| 仮歯 | ¥5,000×4=20,000 |
分割5回払いの場合¥104,000/月(無利子)×5回=¥520,000
※自由診療。治療期間、費用、施術の流れ、仕上がりに関しては個人差があります。
副作用(リスク):一時的に歯がしみたり、かみ合わせの違和感を感じることがあります。
ご自身の歯はなるべく残したいというご希望でしたので、向かって左側の1本目と、右の犬歯(3番目の歯)はセラミック治療を行っていません。残したご自身の歯と違和感がないように、周囲4本にオールセラミッククラウンをセットします。透明感やツヤ感、歯の微妙なグラデーションを再現出来るのは、オールセラミックの大きな特長です。ご自身の歯と見分けがつかないほどの仕上がりにご満足頂けました。
まとめた本数のセラミック治療による差し歯の再治療
| 施術内容 | 費用(税込) | 期間 |
| シンプルデザイン オールセラミッククラウン21本 | ¥2,310,000 | 1か月半 |
分割12回払いの場合¥192,500/月(無利子)×12回=¥2,310,000
※自由診療。治療期間、費用、施術の流れ、仕上がりに関しては個人差があります。
副作用(リスク):一時的に歯がしみたり、かみ合わせの違和感を感じることがあります。
変色した差し歯やご自身の歯のお色を改善されたいとのことで、ご来院いただきました。上下の前歯合わせて21本にセラミック治療を行い、白く明るいお口元に仕上げました。
セラミックは変色の心配がなく、長く白く健康的なお口元をキープしていただけます。
変色と歯のサイズをキレイにしたい
| 施術内容 | 費用(税込) | 期間 |
| セミデザイン オールセラミッククラウン2本 | ¥270,000 | 1か月半 |
分割5回払いの場合¥54,000/月(無利子)×5回=¥270,000
※自由診療。治療期間、費用、施術の流れ、仕上がりに関しては個人差があります。
副作用(リスク):一時的に歯がしみたり、かみ合わせの違和感を感じることがあります。
以前に治療をして変色した前歯を白くしたいとのご希望をいただきました。まわりの歯のお色に合わせて前歯2本にセラミック治療を行い、ナチュラルなお色に仕上げました。
また、まわりの歯に比べて前歯が長いのが気になるとのことだったので、元の歯よりも小さめのサイズに調整しました。セラミック治療では、歯のお色だけでなく歯並びや歯の大きさ・長さも細かく改善することができます。
医師監修
本ページの内容は、審美歯科医師である石井李奈(審美歯科医師/ルミネ新宿院 院長)の監修のもと作成されています。
差し歯をやり直す主な原因
- 差し歯の変色
- ブラックマージン(歯ぐきの黒ずみ)
- 被せ物の適合不良
- 歯ぐきの後退
- 土台の劣化
古い差し歯では金属が使用されていることが多く、歯ぐきの黒ずみや変色が生じることがあります。近年では金属を使用しないセラミック治療が主流になっています。
ナチュラルから真っ白な白さまでお選びいただけます
セラミック治療による差し歯・銀歯の再治療では、まとめた本数にセラミック治療を行うことでご希望の白さに仕上げることができます。ナチュラルな白さから、天然歯以上の明るい白さまでお選びいただけます。
また、ホワイトニングとセラミック治療を併用することでお口元全体の白さをトーンアップすることも可能です。
ご希望に合った最適な白さをご一緒にお選びいたします。

| 施術内容 | 費用(税込) | 期間 |
| シンプルデザイン オールセラミッククラウン22本 | ¥2,420,000 | 2か月間 |
分割12回払いの場合¥201,667/月(無利子)×12回=¥2,420,000
※自由診療。治療期間、費用、施術の流れ、仕上がりに関しては個人差があります。
副作用(リスク):一時的に歯がしみたり、かみ合わせの違和感を感じることがあります。
お悩みに合わせた治療症例をInstagramでチェック
25年以上に渡り審美治療専門だからこその圧倒的な症例数。お悩みに合わせた症例は、Instagram内ハイライトや各投稿から詳しくご覧いただけます。
12本以上のセラミック治療「セラミックスマイルプラン」
12本以上のまとめた本数のセラミック治療をご希望の方に向けたパッケージプランです。単品のセラミック治療に比べて15%以上お得になります。
理想の歯並び・歯の白さ・歯の形へ導き、美容整形の総仕上げとしてもおススメです。
差し歯の再治療
美しさへのこだわり
歯茎から0.5mm内側にセットすることでより自然に

セラミッククラウンを装着する際、より自然な歯茎からの立ち上がりにこだわっています。セラミックと歯茎の間にわずかでも隙間があると、不自然に見えてしまいます。
当院では、クラウンが歯ぐきの内側に約0.5mm入り込むように設計・装着しています。「歯ぐきとの隙間0.5mm」を実現することで、より自然で美しい仕上がりとなります。
色・形・お顔とのバランスへのこだわり

より美しい仕上がりとなるためにセラミックのお色や形・サイズだけでなく、お顔とのバランスまで細かく調整していきます。
クラウンの色を決める際には、専用のパソコンで画像を最大限に拡大し、細かなグラデーションを丁寧に施していきます。
先端部分には自然な透明感を加え、歯の形や大きさは噛み合わせを確認しながら細かく調整。お顔全体との調和も考慮し、理想的で自然な仕上がりを目指しています。
差し歯の再治療の流れ
01無料カウンセリングでご相談
まずは現在の古い差し歯の状態を確認させていただきます。気になるところや治療についてご不安なこと・ご希望を詳しく伺います。
02口腔内写真・模型の採取
治療をされることが決定しましたら、検査としてお口の中のお写真撮影やレントゲン検査を行います。
また必要に応じて、断層撮影が可能なCTスキャンを実施します。レントゲン検査では確認しづらい歯の断面情報をCTスキャンによって詳細に把握することができ、古い金属の厚みや深さ・残存歯質の状態などを正確に確認できます。
03古い土台やパーツの除去
金属の土台は、歯茎の黒ずみの原因となります。変色や厚みのある差し歯や金属の土台を除去し、金属を一切使用しない白いグラスファイバー製の土台に入れ替えます。
白い土台に入れ替えることでセラミックの被せ物に入れ替えとき、よりセラミックの透明感が際立ちます。
04仮歯の調整
土台を入れた後、一度仮歯をお入れいたします。仮歯の状態で数日間お過ごしいただき、形や大きさなど気になると感じた点を修正していきます。
05セラミックをセット
調整後、セラミッククラウンを技工所に発注します。2週間ほどでセラミックが仕上がってきますので、セラミックをお付けして差し歯の再治療が完了です。
差し歯再治療の流れまとめ
- 無料カウンセリング・診査
- 現在の差し歯の状態確認
- 古い差し歯の除去
- 土台(コア)の再治療
- 仮歯の装着
- セラミッククラウン装着
患者様のお口の状態によって治療内容は異なりますが、通常2〜3ヶ月程度で差し歯の再治療が完了します。
遠方からお越しの方に向けた交通費一部補助制度について
遠方からお越しの方に向けた補助制度がございます。また、できるだけ通院回数を減らしたプランなど、柔軟な治療スケジュールを組ませていただきます。
差し歯やり直しの費用目安
| 治療内容 | 費用(税込) |
| シンプルデザイン・オールセラミック:奥歯に適したセラミック | ¥130,000〜(仮歯代・土台費用含む) |
| セミデザイン・オールセラミッククラウン:前歯に適したセラミック | ¥155,000〜(仮歯代・土台費用含む) |
| フルデザイン・オールセラミッククラウン:より細かなデザインの調整を行うセラミック | ¥175,000~(仮歯代・土台費用含む) |
※料金は仮歯・土台(コア)を含めた総額の目安です。
※状態により根管治療等が必要になる場合があります。詳しい費用はカウンセリング時にご説明いたします。
失敗しない差し歯のやり直し医院の選び方
- 差し歯の再治療症例を十分に公開しているか
- ブラックマージンや歯ぐきの審美修正に対応できるか
- 仮歯の段階で細かく調整しているか
- セラミックの種類を複数提示しているか
- 審美歯科専門の医師が担当するか
差し歯のやり直しは単なる「被せ物交換」ではなく、土台・歯ぐき・色調バランスまで総合的に設計する必要があります。
差し歯の再治療に対応している医院
東京(銀座・新宿・恵比寿)の各院にて差し歯のやり直し・再治療を行っております。ご都合の良いエリアからお選びください。
短期集中治療について
遠方からお越しの方やできるだけ治療回数を減らしたい方に向けた、短期集中治療をご用意しております。
一度のご来院でできるだけ治療を進めることが可能です。
私たちが治療を担当いたします
総院長 石井府中
25年以上にわたり、セラミック治療・矯正治療を中心とした審美歯科治療を行ってきた実績。ミリ単位まで美しい治療は、多くの芸能人の方にも定評があります。恵比寿本店・ルミネ有楽町店を担当。
審美歯科医師/ルミネ新宿院 院長 石井李奈
女性ならではのきめ細かな審美歯科治療をご提案。患者様に寄り添った丁寧な治療は、数多くの患者様にお喜びいただいております。恵比寿本店・ルミネ新宿店を担当。
※本ページは審美歯科治療に25年以上従事する医師が監修しています。
柔軟なお支払い方法に対応PAYMENT
各種クレジットカードによる分割払いはもちろんのこと、患者さまのご希望に合わせた柔軟なお支払い方法に対応しております。ご希望のお支払い方法にできる限り寄り添いますので、お支払いについてもお気軽にご相談ください。
- 院内無利息分割払い無利息での現金やクレジットカードによる院内での分割払いが可能です。お支払いペースもご相談ください。
- LUMINEカードでのお支払い各店舗がLUMINEにもございますので、LUMINEカードでのお支払いが可能です。年に数回のLUMINEバーゲンでよりお得に審美治療を受けていただけます。
- デンタルローンに対応webサイトから簡単にお申込みのできるオリコのデンタルローンに対応しております。最大84回まで分割可能です。
- 各種QRコード決済が使えます
すべての審美歯科治療でpaypay・楽天ペイ・d払いなど、各種QRコード決済が行えます。柔軟なお支払い方法について
審美治療を専門に25年以上の実績

ホワイトホワイトは、審美治療を専門として25年以上にわたり多くの患者様の治療を行っております。
患者様おひとりおひとりの美しさを最大限に引き出し、健康的でナチュラルな白い歯へと導きます。
差し歯・銀歯の再治療や、お口元で気になるところについてまずは無料カウンセリングでお気軽にご相談ください。
差し歯の再治療よくある質問
東京で差し歯の再治療・やり直しをご検討中の方からよく寄せられるご質問を、審美歯科医師の視点から分かりやすくまとめました。
- Q1. 差し歯はやり直し(再治療)できますか?
A はい、差し歯はやり直し(再治療)が可能です。
差し歯の変色やぐらつき、歯ぐきの黒ずみ、内部の虫歯などがある場合には、現在の差し歯を外して歯の状態を確認し、新しい差し歯を作製します。また、必要に応じて土台(コア)の交換や根管治療の再治療を行うことで、より長く安定した状態を目指すことができます。審美歯科医師/ルミネ新宿院 院長 石井李奈のコメント
差し歯は一度入れたら終わりではなく、長年の使用により劣化やトラブルが生じることがあります。再治療では、差し歯だけでなく歯の根や土台の状態まで確認することが重要です。適切な診断と精密な治療を行うことで、見た目と機能の両方を改善することが可能です。- Q2. 差し歯の寿命はどれくらいですか?
A 差し歯の寿命は一般的に 7〜15年程度 といわれています。ただし、以下の要因によって寿命は大きく変わります。
- 使用している素材
- 噛み合わせや歯ぎしり
- 口腔内のケア状況
- 土台や歯根の状態
定期的な検診を受けることで、トラブルの早期発見につながります。
審美歯科医師/ルミネ新宿院 院長 石井李奈のコメント
差し歯の寿命は素材や治療精度、日々のケアによって大きく変わります。特に古い差し歯では内部で虫歯が再発しているケースもあるため、見た目に問題がなくても定期的なチェックを受けることが大切です。- Q3. 差し歯の根元が黒く見えるのはなぜですか?
A 差し歯の根元が黒く見える原因として、以下が考えられます。
- 金属の土台(メタルコア)の影響
- 差し歯の適合不良
- 歯ぐきの変色
このような場合には、金属を使用しないファイバーコアへ交換し、セラミックの差し歯に作り直すことで改善できることがあります。
審美歯科医師/ルミネ新宿院 院長 石井李奈のコメント
歯ぐきの黒ずみは金属の土台が原因であることも多く、審美的な悩みにつながります。再治療では、金属を使わない土台や自然な色調のセラミックを使用することで、より自然な見た目を目指すことができます。- Q4. 差し歯の再治療にはどれくらいの期間がかかりますか?
A 差し歯の再治療は通常 2〜4回程度の通院で2-3か月程度で完了することが多いです。
ただし、以下の場合には治療期間が長くなることがあります。- 根管治療(根の再治療)や神経の治療が必要な場合
- 歯ぐきの治療が必要な場合
- 細かな噛み合わせ調整が必要な場合
歯の状態によって治療期間は異なりますので、無料カウンセリングの際に拝見して詳しくご案内いたします。
審美歯科医師/ルミネ新宿院 院長 石井李奈のコメント
差し歯の再治療では、見た目だけでなく歯の健康状態を整えることも重要です。そのため、必要に応じて根の治療や土台の調整を行い、長期的に安定した状態を目指します。- Q5. 差し歯の再治療をしないとどうなりますか?
A 問題のある差し歯を放置すると、以下のようなトラブルにつながる可能性があります。
- 差し歯の内部で虫歯が進行する
- 歯ぐきの炎症
- 差し歯の脱離
- 歯根破折
違和感がある場合には、早めに歯科医院で診察を受けることが大切です。
審美歯科医師/ルミネ新宿院 院長 石井李奈のコメント
差し歯のトラブルは初期の段階では自覚症状が少ないこともあります。しかし放置すると歯の保存が難しくなる場合もあるため、違和感や見た目の変化を感じた際には早めに診察を受けることをおすすめします。
English
中文(简)
5/14-5/20の期間、ルミネカードによるお支払いで、








