- HOME
- 出っ歯を治したい
出っ歯を治す方法|セラミック矯正・マウスピース矯正の違いと選び方

出っ歯はどの治療で治すべき?結論
出っ歯は原因や歯並びの状態によって最適な治療法が異なります。
- 短期間で見た目を改善したい:セラミック矯正(約2〜3ヶ月)
- 歯を削らずに治したい:マウスピース矯正(約6ヶ月〜1年)
- 根本から全顎的に治したい:ワイヤー矯正
当院では患者様のご希望と歯並びの状態をもとに、複数の治療法をご提案いたします。
出っ歯治療の比較|セラミック矯正・マウスピース矯正・ワイヤー矯正
出っ歯の治療方法はそれぞれ特徴や適応が異なります。以下に主な治療法の違いをまとめました。
| 治療法 | 期間 | 特徴 | おすすめの方 |
|---|---|---|---|
| セラミック矯正 | 2〜3ヶ月 | 即効性があり短期間で見た目を改善 | 短期間で治したい |
| マウスピース矯正 | 6ヶ月〜1年 | 透明で目立たず取り外し可能 | 歯を削りたくない |
| ワイヤー矯正 | 1〜2年 | 根本改善 | 重度の出っ歯 |
出っ歯の治療・料金例
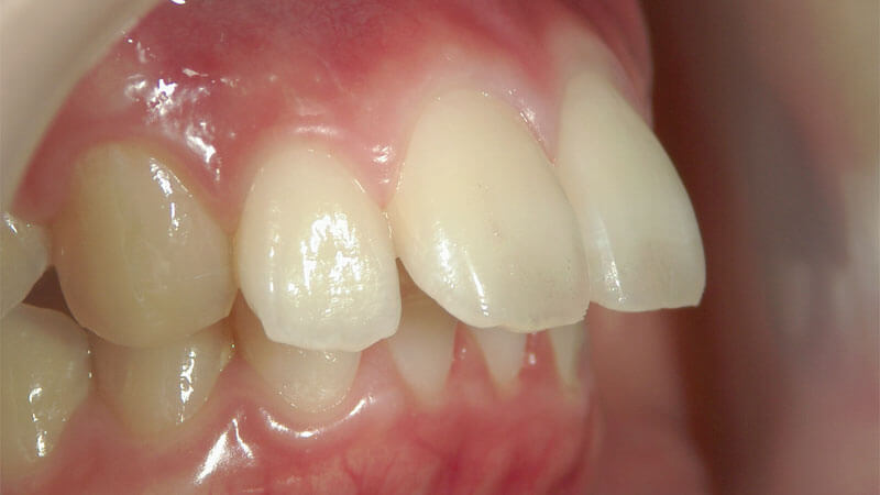
出っ歯を前歯2本のセラミック矯正で改善
※自由診療。治療期間、費用、施術の流れ、仕上がりに関しては個人差があります。シンプル・オールセラミッククラウン1本¥110,000。治療期間約2ヶ月
副作用(リスク):一時的に歯がしみたり、かみ合わせの違和感を感じることがあります。
前に突出していた前歯二本にセラミック矯正を行うことで、出っ歯を改善しました。
セラミック矯正では、わずか2か月程度の短期間で出っ歯を改善することができます。また、セラミック矯正2本で26万円からと、リーズナブルに歯並びを改善できることも特徴です。
セラミック矯正による出っ歯治療で理想的なEラインに
※自由診療。治療期間、費用、施術の流れ、仕上がりに関しては個人差があります。シンプル・オールセラミッククラウン1本¥110,000。治療期間約2ヶ月
副作用(リスク):一時的に歯がしみたり、かみ合わせの違和感を感じることがあります。
前歯二本をセラミック矯正により内側に入れることで、横顔が理想的なEラインに近づいた方の症例です。
笑った時やお話をした時も歯が目立つことなく、美しいお口元に仕上がりました。
マウスピース矯正による出っ歯治療
※自由診療。治療期間、費用、施術の流れ、仕上がりに関しては個人差があります。マウスピース矯正1step¥55,000。治療期間約1年。
副作用(リスク):つけ始めにマウスピースの違和感を感じることがあります。
マウスピース矯正により前歯を内側に入れた方の症例です。マウスピース矯正では抜歯などは行わず、確保できるスペースを利用して歯を内側に入れていきます。
横顔の印象がアップし、すっきりとした印象のお口元になりました。
出っ歯による影響

- 歯が前方に出てしまうので口が閉じにくい
- 力を入れて口を閉じることで、あごにシワが寄ってしまう
- 上の前歯が下唇を押している(軽く噛んでいる)状態になり、下唇に歯の跡がついてしまう
- 下の前歯が上の前歯を突き上げるような噛み合わせになりやすく、さらに出っ歯になってしまう
なお、出っ歯と似た症状として「口ゴボ(口元が全体的に前に出ている状態)」があります。
見た目が似ているため判断が難しいケースも多く、適切な治療法も異なります。
詳しくは口ゴボの治療についてはこちらをご覧ください。
出っ歯治療の種類
1.セラミック矯正
セラミック矯正は、歯を削りセラミックの被せ物を被せることで歯を内側に入れる治療法です。
わずか2~3か月と短期間に出っ歯を改善できます。また、同時に歯の大きさや形を改善することができるだけでなく、ホワイトニングを併用してお口元全体の白さをトーンアップすることもできます。
セラミック矯正による出っ歯治療の特徴
- 2~3か月と短期間に出っ歯を改善できる
- 後戻りの心配がない
- 歯の形や大きさも改善できる
- 歯の白さもトーンアップできる
セラミック矯正による出っ歯治療例
※自由診療。治療期間、費用、施術の流れ、仕上がりに関しては個人差があります。シンプル・オールセラミッククラウン1本¥110,000。治療期間約2ヶ月
副作用(リスク):一時的に歯がしみたり、かみ合わせの違和感を感じることがあります。
前歯二本をセラミック矯正によりしっかりと内側に入れ込みました。まわりの歯に比べて長かった前歯の長さや大きさのバランスも、まわりに合わせることで全体としてバランスの良いお口元に仕上がりました。
2.マウスピース矯正

マウスピース矯正では、透明なマウスピースすることで出っ歯を改善します。
ワイヤー矯正やセラミック矯正に比べると歯を動かせる範囲は限られていますが、歯を削ることやワイヤーやブラケットといった矯正装置に抵抗のある方に適しています。
通常、10~15ステップほどかけてマウスピースを装着することにより、歯並びを改善していきます。透明なマウスピースは目立ちづらいだけでなく、簡単にご自身で取り外していただけます。
そのためお食事や歯磨きの際は外していただけるので、清潔にお口をキープいただきながら歯並びを改善できます。
3.その他の矯正治療

ホワイトホワイトでは、裏側矯正や表側矯正に加え、複数の矯正方法を組み合わせたハイブリッド矯正など、さまざまな矯正治療をご提供しております。
遠方からお越しの方に向けた交通費一部補助制度について
遠方からお越しの方に向けた補助制度がございます。また、できるだけ通院回数を減らしたプランなど、柔軟な治療スケジュールを組ませていただきます。
出っ歯治療Q&A
12本以上のセラミック治療「セラミックスマイルプラン」
12本以上のまとめた本数のセラミック治療をご希望の方に向けたパッケージプランです。単品のセラミック治療に比べて15%以上お得になります。
理想の歯並び・歯の白さ・歯の形へ導き、美容整形の総仕上げとしてもおススメです。
私たちが治療を担当いたします
総院長 石井府中
25年以上にわたり、セラミック治療・矯正治療を中心とした審美歯科治療を行ってきた実績。ミリ単位まで美しい治療は、多くの芸能人の方にも定評があります。恵比寿本店・ルミネ有楽町店を担当。
審美歯科医師/ルミネ新宿院 院長 石井李奈
女性ならではのきめ細かな審美歯科治療をご提案。患者様に寄り添った丁寧な治療は、数多くの患者様にお喜びいただいております。恵比寿本店・ルミネ新宿店を担当。
※本ページは審美歯科治療に25年以上従事する医師が監修しています。
柔軟なお支払い方法に対応PAYMENT
各種クレジットカードによる分割払いはもちろんのこと、患者さまのご希望に合わせた柔軟なお支払い方法に対応しております。ご希望のお支払い方法にできる限り寄り添いますので、お支払いについてもお気軽にご相談ください。
- 院内無利息分割払い無利息での現金やクレジットカードによる院内での分割払いが可能です。お支払いペースもご相談ください。
- LUMINEカードでのお支払い各店舗がLUMINEにもございますので、LUMINEカードでのお支払いが可能です。年に数回のLUMINEバーゲンでよりお得に審美治療を受けていただけます。
- デンタルローンに対応webサイトから簡単にお申込みのできるオリコのデンタルローンに対応しております。最大84回まで分割可能です。
- 各種QRコード決済が使えます
すべての審美歯科治療でpaypay・楽天ペイ・d払いなど、各種QRコード決済が行えます。柔軟なお支払い方法について
出っ歯治療についてご相談ください

ホワイトホワイトでは1998年のオープン以来、25年以上にわたり審美治療・矯正治療を専門として多くの患者様の治療を行ってまいりました。
患者様の現在のお口元と、ご希望に合わせて最適な治療をご案内いたします。
また、複数の治療プランをご用意しておりますので、出っ歯治療についてまずは無料カウンセリングでご相談ください。
東京ホワイトホワイト各院のご案内
当院は銀座・恵比寿・新宿にて診療を行っております。
通いやすい院をお選びいただけますので、まずはお気軽にご相談ください。
出っ歯の矯正治療よくある質問
出っ歯の治療を検討されている方からは、「どの治療法が自分に合っているのか」「どれくらいの期間や費用がかかるのか」といったご相談を多くいただきます。
出っ歯は原因や歯並びの状態によって最適な治療法が異なるため、セラミック矯正・マウスピース矯正・ワイヤー矯正の中から、ご自身に合った方法を選ぶことが重要です。
ここでは、出っ歯矯正に関して特によくあるご質問とその回答をまとめました。治療法の違いや選び方を理解し、不安や疑問の解消にお役立てください。
- Q1. 出っ歯はセラミック矯正とマウスピース矯正どちらが良いですか?
A 目的と出っ歯の度合いや原因によって最適な治療法は異なります。短期間で見た目を改善したい場合はセラミック矯正、歯を削らずに自然に歯並びを整えたい場合はマウスピース矯正が適しています。
専門家コメント:総院長 石井府中
出っ歯の度合いや原因が歯の角度によるものか、骨格によるものかで適した治療は変わります。出っ歯の原因を分析し、ご希望を伺ったうえで最適な治療をご一緒にお選びいたします。- Q2. 出っ歯はどれくらいの期間で治せますか?
A 治療法によって異なります。
セラミック矯正は約2〜3ヶ月、マウスピース矯正は10ヶ月〜1年半、ワイヤー矯正は1〜2年が目安です。- Q3. セラミック矯正で出っ歯はどこまで改善できますか?
A 前歯の角度や大きさを調整することで、見た目の出っ歯感は大きく改善できます。
ただし骨格的な問題が大きい場合は矯正治療が適していることもあります。専門家コメント:総院長 石井府中
セラミック矯正では、歯を内側に入れることで出っ歯を後戻りなくしっかり改善することができます。自然で長持ちする仕上がりを重視しています。- Q4. 出っ歯矯正の費用はどれくらいかかりますか?
A 治療法や症例によって異なります。
セラミック矯正は1本単位、矯正治療は全体の費用設定となるのが一般的です。費用を抑えたい場合には、セラミック矯正だと前歯2本で26万円からスタートできます。専門家コメント:総院長 石井府中
費用だけでなく、仕上がりや治療期間、再治療リスクまで含めて比較することが大切です。トータルで満足できる治療法を選びましょう。- Q5. 出っ歯矯正は痛みがありますか?
A 矯正治療では歯が動く際に軽い痛みを感じることがありますが、多くは数日で落ち着きます。
セラミック矯正は歯を動かさないため、矯正特有の痛みはほとんどありません。- Q6. 出っ歯を放置するとどうなりますか?
A 見た目の問題だけでなく、口が閉じにくい・前歯への負担・虫歯や歯周病リスクの増加などにつながります。
専門家コメント:総院長 石井府中
出っ歯は機能面にも影響するため、早めの対応が望ましいケースが多いです。
審美だけでなく健康面のメリットも大きい治療です。- Q7. 自分に合う治療方法はどうやって選べばいいですか?
A 出っ歯の原因(歯並び・骨格)やご希望(期間・費用・見た目)によって最適な治療は異なります。
カウンセリングを受診し、複数の治療法を比較しながら選ぶことが重要です。- Q8. カウンセリングではどこまで相談できますか?
A 歯並びの状態確認から、治療方法・期間・費用の目安までお見積もりをお出しして詳しくご説明します。
無理に治療をすすめることはありませんのでご安心ください。
English
中文(简)
5/14-5/20の期間、ルミネカードによるお支払いで、









審美歯科治療を受けられる方のお悩みとして、「出っ歯をきれいに治したい」というご希望はたいへん多くいただきます。
前歯はお顔のパーツの中でとても目立つ部分であり、印象にも大きな影響を与えます。前方に突出してしまっていることで、口元が膨らんだ状態になり、横から見ると鼻とあごよりも前に出てしまうこともあります。
鼻の先端とあごの先端を結んだライン(Eライン)の内側に唇が収まっていることが美しい横顔の条件とされていますが、ラインを大幅に出てしまうことでモコッとした口元になってしまいます。