口ゴボ治療の料金

口ゴボ治療の基本の料金
セラミッククラウン(ジルコニア・1本)
| シンプル・オールセラミッククラウン | ¥110,000 |
| セミデザイン・オールセラミッククラウン | ¥135,000 |
| フルデザイン・オールセラミッククラウン | ¥155,000 |
| コア築または支台歯調整料 | ¥15,000/1本 |
| 仮歯 | ¥5,000/1本 |
※ご希望やご予算に合わせて、複数のタイプからお選び頂けます。
※通常カラーのセラミックもスーパーホワイトセラミックも、料金は同じです。
歯肉整形(ガムカット)
| 歯肉整形 | ¥11,000/1本 |
口ゴボ治療 前歯4本+歯肉整形2本プラン
いわゆる出っ歯の状態で、当院でもっとも多い口ゴボのケースです。犬歯(3番目の歯)は残し、前歯2本の傾きとサイズを調整したセラミックをセットします。歯茎のラインの調整は前歯2本のみに行い、バランスよく整えます。
※自由診療。治療期間、費用、施術の流れ、仕上がりに関しては個人差があります。
副作用(リスク):一時的に歯がしみたり、かみ合わせの違和感を感じることがあります。
| セミデザイン・オールセラミック | ¥135,000×4本=¥540,000 |
| 歯肉整形 | ¥11,000×2本×2回=¥22,000 |
| コア築または支台歯調整料 | ¥15,000×4本=¥60,000 |
| 仮歯 | ¥5,000×4本=¥20,000 |
| 税込合計¥642,000 | |
分割10回払いの場合¥64,200/月(無利子)×10回=¥642,000
提携デンタルローンご利用例月々¥21,200のお支払い
口ゴボ治療 前歯6本+歯肉整形2本プラン
犬歯(3番目の歯)も大きく外側に傾いている場合、前歯6本にセラミックをセットすることで自然に仕上がります。こちらのケースでは、歯肉ラインの調整を前歯2本に行っていますが、前歯4本に行うケースも多くいらっしゃいます。
※自由診療。治療期間、費用、施術の流れ、仕上がりに関しては個人差があります。
副作用(リスク):一時的に歯がしみたり、かみ合わせの違和感を感じることがあります。
| セミデザイン・オールセラミック | ¥135,000×6本=¥810,000 |
| 歯肉整形 | ¥11,000×2本×2回=¥22,000 |
| コア築または支台歯調整料 | ¥15,000×6本=¥90,000 |
| 仮歯 | ¥5,000×6本=¥30,000 |
| 税込合計¥952,000 | |
分割10回払いの場合¥95,200/月(無利子)×10回=¥952,000
提携デンタルローンご利用例月々¥30,300のお支払い
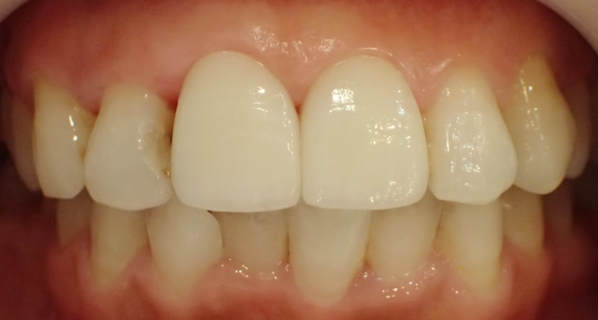
口ゴボ治療 前歯2本+歯肉整形無しプラン
歯ぐきの位置によっては、歯肉をカットしなくても口ゴボをキレイに整えることが出来ます。こちらのケースでは前歯2本にセラミックをセット。傾きと歯のサイズを整え、内側に入れてキレイに仕上げることが出来ています。
※自由診療。治療期間、費用、施術の流れ、仕上がりに関しては個人差があります。
副作用(リスク):一時的に歯がしみたり、かみ合わせの違和感を感じることがあります。
| セミデザイン・オールセラミック | ¥135,000×2本=¥270,000 |
| コア築または支台歯調整料 | ¥15,000×2本=¥30,000 |
| 仮歯 | ¥5,000×2本=¥10,000 |
| 税込合計¥310,000 | |
分割5回払いの場合¥62,000/月(無利子)×5回=¥310,000
値上げをできるだけしないために企業努力しております
人件費をはじめ原材料・技工物の高騰や諸経費の値上がりがございますが、より多くの患者様に良質な治療を受けていただきお喜びいただけるように企業努力して参ります。
値上げを極力行わないように努めますので、今後ともよろしくお願い申し上げます。
選べる柔軟なお支払い方法

当院では、通常のクレジットカードや現金でのお支払い方法のほかにも以下のような柔軟なお支払い方法に対応しております。
お支払い方法についても無料カウンセリングでお気軽にご相談ください。
院内無利息分割払い
お支払いのペースに合わせて治療を進める院内無利息分割払いに対応しております。治療本数や治療期間をお支払いのご希望に合わせてご相談が可能です。院内無利息分割払いの最大分割回数は特に決まっておりません。
最大84回分割まで可能なデンタルローン
最大84回分割まで可能なデンタルローンにも対応しております。お支払いペースに関係なく治療を進めたい方・より分割回数を多くされたい方にもおすすめです。
LUMINEキャンペーンでよりお得に
年数回のLUMINEキャンペーンによるお支払いで、よりお得に治療を受けていただくことが出来ます。LUMINEカードはキャンペーン期間外でもLUMINE内でのお支払いで通年5%OFFになるほか、即日発行も可能です。
各種QRコード・クレジットカード決済に対応
全ての審美歯科治療でpaypay・楽天ペイ・d払いなど、各種QRコード決済が行えます。ご希望に合ったお支払い方法で治療を受けていただけます。
高度な技術の治療をリーズナブルに
お口元の美しさと健康は、患者様の生涯にわたっての若々しさ・健康・美しさに直結します。当院では、長く美しく健康的なお口元をキープしていただける質の高い治療を、できる限りリーズナブルに患者様にご提供いたします。
高技術の治療をできるだけ多くの患者様に受けていただけるよう努めています。
遠方からお越しの方に向けた交通費一部補助制度について
安心の明朗会計制度

ホワイトホワイトでは、費用について無料カウンセリング時に詳しくご案内しております。
お出しするお見積りには、検査代・麻酔代・針代・処置代・お薬代など治療に必要なすべての金額が含まれています。
また、万が一お出ししたお見積り以外に別途費用がかかる可能性のある場合は、その都度患者さまとご相談したうえで進めてまいります。明朗会計制度を設けておりますので、ご安心ください。
カウンセリングも無料で実施しておりますので、費用についてご不明な点がございましたらお気軽にご相談ください。
安心の完全保証制度
総院長 石井府中
「当院では完全保証制度を設けております。安心してご来院ください。」
保証につきましては通常生活にて破損した場合(転倒・事故等の場合は保証の対象外)に対象となり、また半年に1度のメンテナンス(セラミックチェック等)を受けられている事を適用条件と致します。
English
中文(简)
5/14-5/20の期間、ルミネカードによるお支払いで、










