- HOME
- セラミック矯正
セラミック矯正 東京|短期間で歯並び・色・形を整える審美歯科
セラミック矯正とは、歯を動かす矯正ではなく、セラミックを用いて歯並び・歯の色・形を短期間で整える審美歯科治療です。東京(新宿・銀座・恵比寿)でセラミック矯正をご検討中の方に向けて、治療期間・費用・メリット・デメリット・適応症例・リスクまで、25年以上の実績をもとにわかりやすく解説します。

治療・料金例Treatment Example
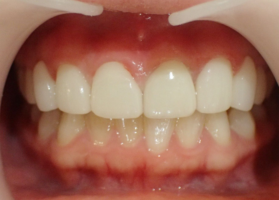
セラミック矯正で口ゴボ・出っ歯を改善したケース
前歯2本にセラミック矯正を行うことで、口ゴボを解消し理想的なEラインに近づけたケースです。
※自由診療。治療期間、費用、施術の流れ、仕上がりに関しては個人差があります。シンプル・オールセラミッククラウン1本¥110,000。治療期間約2ヶ月。
副作用(リスク):一時的に歯がしみたり、かみ合わせの違和感を感じることがあります。
セラミック矯正+歯肉整形でガミースマイルを改善したケース
セラミック矯正と歯肉整形を併用することで、ガミースマイルを後戻りの心配なく改善したケースです。
※自由診療。治療期間、費用、施術の流れ、仕上がりに関しては個人差があります。セミデザイン・オールセラミッククラウン1本¥135,000。歯肉切除1本¥11,000。治療期間約2ヶ月半。
副作用(リスク):一時的に歯がしみたり、かみ合わせの違和感を感じることがあります。
セラミック矯正ですきっ歯・歯の長さ・バランスを改善したケース
セラミック矯正により歯のすき間を改善すると同時に、前歯の大きさや幅・形を理想的に改善したケースです。
※自由診療。治療期間、費用、施術の流れ、仕上がりに関しては個人差があります。シンプル・オールセラミッククラウン1本¥110,000。治療期間約2ヶ月。
副作用(リスク):一時的に歯がしみたり、かみ合わせの違和感を感じることがあります。
セラミック矯正によりガチャ歯(叢生)を改善したケース
上下の前歯にセラミック矯正を行うことで、がたつきのあった前歯全体の歯並びを大きく改善したケースです。
※自由診療。治療期間、費用、施術の流れ、仕上がりに関しては個人差があります。シンプル・オールセラミッククラウン1本¥110,000。治療期間約2ヶ月。
副作用(リスク):一時的に歯がしみたり、かみ合わせの違和感を感じることがあります。
症例や本数によって費用は異なります。詳しい費用については料金一覧はこちらをご確認ください。
セラミック矯正で歯並び・歯のお色・バランスを短期間に改善
セラミック矯正では歯並びを短期間に改善できるだけでなく同時に歯のお色や形・長さも審美的に美しく整えることができます。
前歯4本にセラミック矯正+ホワイトニングで歯並びを改善しながら白い歯へ
※自由診療。治療期間、費用、施術の流れ、仕上がりに関しては個人差があります。シンプル・オールセラミッククラウン1本¥110,000。治療期間約2ヶ月。
副作用(リスク):一時的に歯がしみたり、かみ合わせの違和感を感じることがあります。
上の前歯4本にセラミック矯正を行い、横の歯や下の歯にホワイトニングを行うことで歯並びを改善しながらお口全体の白さをトーンアップした方の症例です。
出っ歯気味だった前歯の歯並びがバランスよく整い、白く透明感のある仕上がりとなりました。セラミックのお色は細かくまわりの歯のに合わせることができるので、違和感が出る心配がありません。
歯並びと同時に全体の白さを上げることで、お顔の印象も変わります。
お悩みに合わせた治療症例をInstagramでチェック
25年以上に渡り審美治療専門だからこその圧倒的な症例数。お悩みに合わせた症例は、Instagram内ハイライトや各投稿から詳しくご覧いただけます。
セラミック矯正の要点まとめ(東京で検討中の方へ)
- 治療期間:2〜3ヶ月程度
- 費用目安:1本 約130,000円〜
- 適応:前歯の歯並び・すきっ歯・出っ歯(口ゴボ)・がちゃ歯など
- メリット:短期間・見た目改善・後戻りしにくい
- デメリット:歯を削る・神経処置の可能性
セラミック矯正が向いている方・向いていない方
向いている方
- 短期間で歯並びを整えたい方
- 歯の色や形も同時に改善したい方
- 見た目重視で仕上がりにこだわりたい方
向いていない方
- 歯を削りたくない方
- 噛み合わせの大きな改善が必要な方
- 自然な歯の移動を希望する方
セラミック矯正とは

セラミック矯正は、複数本にセラミック治療を行うことで矯正治療のように歯並びを整える治療法です。
歯並びを整えるだけではなく、同時に歯のお色・形・歯のサイズを改善することができます。一般的な矯正治療のように治療期間が長期に渡らず、わずか2~3ヶ月と短期間に施術が完了する点も人気の理由です。
歯並びが後戻りする心配もなく、よりきめ細かく理想的なお口元に仕上げることができます。
また、お口元の中で歯並びが気になる箇所に絞って治療をすることができるので、費用を抑えやすいといったメリットもあります。
セラミック矯正はセラミック治療の一種であり、歯並びだけでなく色や形も整える審美歯科治療です。
より詳しい素材や種類については、セラミック治療について詳しくはこちらをご覧ください。
セラミック矯正の
メリット・デメリット

メリット
- 歯並びを2~3か月と短期間に改善できる
- 歯並びと同時にお色・形・バランスを細かく整えることができる
- 後戻りの心配がない
- 矯正装置を装着する必要がない
- 矯正治療に比べて審美的にきめ細かく仕上げることができる
- 気になるところに絞って治療ができるため費用を抑えやすい
デメリット
- 歯を削る
- ケースによっては神経の処置を行う
- 定期的なメンテナンスが必要
ワイヤー矯正との違い
セラミック矯正・ワイヤー矯正・マウスピース矯正の違い
東京で矯正治療を検討する際、セラミック矯正は「短期間で見た目を整えたい方」に適しています。
一方でワイヤー矯正は、歯を動かす治療のため時間はかかりますが、噛み合わせを含めた全顎的な改善が可能です。
| 治療法 | 治療期間 | 見た目 | 仕上がりの自由度 |
|---|---|---|---|
| セラミック矯正 | 2〜3ヶ月 | ◎ | ◯ |
| ワイヤー矯正 | 1〜3年 | ◯ | △ |
| マウスピース矯正 | 1年〜2年 | ◯ | △ |
それぞれの治療には適したケースがあるため、ご自身に合った方法を選ぶことが重要です。
より自然に歯を動かす矯正をご希望の方は、マウスピース矯正との違いはこちらもご確認ください。
セラミック矯正に関するよくある質問
- Q1. セラミック矯正とはどのような治療ですか?
A セラミック矯正とは、前歯を中心に複数本のセラミックを用いて、 歯並び・歯の色・歯の形を短期間で同時に整える審美歯科治療です。 ワイヤー矯正のような装置を使用せず、仕上がりの美しさを重視できる点が特徴です。
審美歯科医師/ルミネ新宿院 院長 石井李奈のコメント
セラミック矯正は、見た目の改善を目的とした治療のため、患者様のご希望や歯の状態を丁寧に確認した上で、本数やデザインを慎重に決めることが重要です。- Q2. セラミック矯正はどのくらいの期間で治療が終わりますか?
A セラミック矯正の治療期間は症例にもよりますが、 一般的に約2〜3ヶ月程度で完了するケースが多いです。 ワイヤー矯正やマウスピース矯正と比べ、短期間で治療できる点が特徴です。
審美歯科医師/ルミネ新宿院 院長 石井李奈のコメント
治療期間はセラミックの本数や歯の状態によって前後します。カウンセリング時に治療の流れや期間について詳しくご説明しています。
こだわりの
セラミック矯正
01
お顔に合わせた歯並びに
目の位置、口角の位置などのお顔のバランスは、お1人お1人異なります。歯の並びだけを整えるのではなく、お顔のバランスに合わせて歯並びを調整します。
顔の中心線(正中線)に歯軸(しじく:歯の中心線)を合わせたり、目と唇のラインと歯の先端のラインを合わせます。お口を開けたときに、もっとも美しく見えるようなバランスで、歯並びを仕上げます。特に、対になる歯を左右対称の形態にすることで、統一感のある歯並びに仕上げることができます。
02色と形も同時に整えます
セラミック矯正の最大のメリットは、歯並びを整える際に同時に歯の色や形もキレイにすることが出来ること。
歯並びが乱れてしまっている状態は、歯の大きさが顎の大きさに合っていない場合も多くあります。歯のサイズを整えることで、見た目にもより美しく歯並びを整えることが出来ます。
また歯が重なっていることで歯磨きが難しく、歯が黄ばんでしまっているケースも多くあります。歯の色を透明感のある白さに仕上げることで、よりお口元を美しく見せることが出来ます。
03装置を着けるより、短期間で完了
矯正装置を付けて歯並びを整える場合、治療期間が長くかかってしまうというデメリットがあります。当院ではセラミック矯正をご希望の方には、優先的に診療のご予約をお取りできるようにしており、基本的に2~3カ月程度でキレイに歯並びが整います。
「1回の施術時間を長くしたい」「3回先の予約までおさえたい」などのご希望にもお応えします。早く歯並びをキレイに治したいとご希望の方に、ぴったりの診療プランをご提供します。
04細部まで美しい仕上がりに
施術には高度な技術と高品質な素材が求められます。当院にはお口元の美しさを求める方が多く来院され、セラミックの美しい仕上がりには定評を頂いています。
歯ぐきの0.5mm内側からセラミックを立ち上げる技術、細かな色味のグラデーションと先端に透明感を施したオールセラミッククラウン、より美しく仕上げるために裏側やコア(芯)、セットする接着剤にまでこだわっています。より自然な美しさに仕上がるようにセットを行います。
05機能面もきちんと
セラミック矯正は、見た目のみを重要視するものではありません。中心咬合位・前方運動・側方運動時などの噛み合わせチェックを行い、見た目だけでなく、機能的にもしっかりとした歯並びを構築します。その後にも半年に1回のチェックを行っておりますので、ご安心下さい。
25年以上愛されてきたミリ単位で美しい当院のセラミック矯正

ホワイトホワイトは、審美歯科治療を専門として1998年のオープンから25年以上にわたり多くの患者様の治療に携わってきました。特にセラミック矯正は、芸能人のような美しいお口元にされたい方にも多くご利用をいただいております。
ミリ単位まで美しさと技術にこだわり、患者様のご希望と健康に寄り添ったセラミック矯正をご提供いたします。
長く美しいお口元をキープいただける質の高い治療を、できるだけリーズナブルにご案内いたします。
遠方からお越しの方に向けた交通費一部補助制度について
遠方からお越しの方に向けた補助制度がございます。また、できるだけ通院回数を減らしたプランなど、柔軟な治療スケジュールを組ませていただきます。
短期集中治療について
遠方からお越しの方やできるだけ治療回数を減らしたい方に向けた、短期集中治療をご用意しております。
一度のご来院でできるだけ治療を進めることが可能です。
セラミック矯正の治療の流れ
01まずは無料カウンセリング

まずは無料カウンセリングにて問診を行います。お口の中を確認しながらご希望などを詳しく伺い、治療プランを一緒に考えていきます。施術が決定したら初診時のお口の模型をとり、口腔写真やお顔全体の写真撮影を行います。
02必要なケースでは事前処置
現在の歯並びの状況などにより、必要であれば神経の処置を行います。痛くない麻酔を行っておりますので、痛みが心配な方、不安をお持ちの方はお気軽におっしゃって下さい。
03仮歯で形態をチェック

歯列のスペースに合わせて仮歯を作成します。セラミック矯正の場合、2本よりも4本、4本よりも6本というように、治療本数が多くなるほど現状からガラッと雰囲気を変えることが可能です。
治療中でも快適に日常生活が送れるよう噛み合わせを調整し、機能面の確認もしていただきます。もちろん、通院中に歯が抜けてしまっている期間はありませんので、ご安心ください。
04仮歯の調整・最終仕上げ

セットした仮歯を日常的に使っていただき、気になると感じた点を修正していきます。本番前の仮歯なので見た目の美しさよりも、機能的な部分をしっかりと調整していきます。
仮歯の最終段階ではお口元を写真撮影したものを一緒に見ながら、ご希望の形や形態を細かく伺いますので、ご希望に沿った仕上りとなり、多くの方にご満足いただいております。この工程をきちんと行うことで、最終的に装着するセラミッククラウンがイメージ通りのご希望の状態になり、スムーズに完成させることが出来ます。
05本番の型取り
仮歯の形態にご納得頂けましたら、本番用に型を取ります。
06セラミックをセットして完了

自由診療。治療期間、費用、施術の流れ、仕上がりに関しては個人差があります。シンプルデザインセラミック1本¥110,000。治療期間約2ヶ月半。
副作用(リスク):一時的に歯がしみたり、かみ合わせの違和感を感じることがあります。
本番の型取りをしてから2週間ほどでセラミックが仕上がります。歯ぐきの0.5mm内側から立ち上げるなど、自然な見た目にこだわって最終セットを行います。
12本以上のセラミック治療「セラミックスマイルプラン」
12本以上のまとめた本数のセラミック治療をご希望の方に向けたパッケージプランです。単品のセラミック治療に比べて15%以上お得になります。
理想の歯並び・歯の白さ・歯の形へ導き、美容整形の総仕上げとしてもおススメです。
柔軟なお支払い方法に対応PAYMENT
各種クレジットカードによる分割払いはもちろんのこと、患者さまのご希望に合わせた柔軟なお支払い方法に対応しております。ご希望のお支払い方法にできる限り寄り添いますので、お支払いについてもお気軽にご相談ください。
- 院内無利息分割払い無利息での現金やクレジットカードによる院内での分割払いが可能です。お支払いペースもご相談ください。
- LUMINEカードでのお支払い各店舗がLUMINEにもございますので、LUMINEカードでのお支払いが可能です。年に数回のLUMINEバーゲンでよりお得に審美治療を受けていただけます。
- デンタルローンに対応webサイトから簡単にお申込みのできるオリコのデンタルローンに対応しております。最大84回まで分割可能です。
- 各種QRコード決済が使えます
すべての審美歯科治療でpaypay・楽天ペイ・d払いなど、各種QRコード決済が行えます。柔軟なお支払い方法について
私たちが治療を担当いたします
総院長 石井府中
25年以上にわたり、セラミック治療・矯正治療を中心とした審美歯科治療を行ってきた実績。ミリ単位まで美しい治療は、多くの芸能人の方にも定評があります。恵比寿本店・ルミネ有楽町店を担当。
審美歯科医師/ルミネ新宿院 院長 石井李奈
女性ならではのきめ細かな審美歯科治療をご提案。患者様に寄り添った丁寧な治療は、数多くの患者様にお喜びいただいております。恵比寿本店・ルミネ新宿店を担当。
※本ページは審美歯科治療に25年以上従事する医師が監修しています。
東京でホワイトホワイトがセラミック矯正で選ばれる理由
- 審美歯科専門25年以上の豊富な症例実績
- 顔全体のバランスを考慮したデザイン設計
- 歯の色・形・透明感まで細かく調整
- 治療前に仕上がりイメージを丁寧に共有
- リスクやデメリットも事前にしっかり説明
東京(新宿・銀座・恵比寿)でセラミック矯正をご検討中の方は、まずは無料カウンセリングにてご相談ください。
セラミック矯正Q&A
よくあるご質問(セラミック矯正)
セラミック矯正をご検討中の方からよく寄せられるご質問を、審美歯科医師の視点から分かりやすくまとめました。
- Q1. セラミック矯正とワイヤー矯正の違いは何ですか?
A セラミック矯正は、短期間で歯並びや見た目を整える審美歯科治療です。一方、ワイヤー矯正は歯を少しずつ動かすため治療期間は長くなりますが、噛み合わせを含めた本格的な矯正治療が可能です。
- Q2. セラミック矯正はどんな人に向いていますか?
A 前歯の歯並びやすき間が気になる方、短期間で口元の印象を改善したい方、歯の色や形も同時に整えたい方に向いている治療です。
審美歯科医師/ルミネ新宿院 院長 石井李奈のコメント
噛み合わせに大きな問題がある場合や、全体的な歯列矯正が必要な場合には、他の治療法をご提案することもあります。- Q3. セラミック矯正は後戻りしますか?
A セラミック矯正は、セラミックを歯に装着して形を整える治療のため、ワイヤー矯正のような歯の後戻りは起こりにくいとされています。ただし、噛み合わせや歯ぎしりなどの影響を受けることがあります。
審美歯科医師/ルミネ新宿院 院長 石井李奈のコメント
治療後も定期的なメンテナンスを行うことで、セラミックを長く良い状態で保つことができます。- Q4. セラミック矯正の費用はどのくらいですか?
A セラミック矯正の費用は1本あたり約130,000円〜が目安です。本数や症例により総額は異なります。
審美歯科医師/ルミネ新宿院 院長 石井李奈のコメント
セラミック矯正では、偶数本(2本・4本・6本)で歯並びを改善することが多いです。現在の歯並びの状態とご希望に合わせて、無料カウンセリング時に詳しいお見積もりをお出しいたします。- Q5. 東京でセラミック矯正を受けるクリニックの選び方は?
A 症例数・仕上がりの美しさ・治療計画の説明・リスク説明が丁寧かを確認することが重要です。
審美歯科医師/ルミネ新宿院 院長 石井李奈のコメント
まずはいくつかのクリニックでカウンセリングを受け、ご自身に合ったところを選ぶことをおすすめします。また、ご自身の歯並びに対して症例数の多いクリニックか・相談しやすいか・リスクについても説明してくれるか・保証制度が整っているかも確認しましょう。
English
中文(简)
5/14-5/20の期間、ルミネカードによるお支払いで、








