- HOME
- オールセラミッククラウン治療
こだわりのオールセラミッククラウン治療
本格的に前歯を美しくしたい方 ご相談下さい
セラミックは、審美性を重視した歯科治療トレーニングを積んだドクターが直接施術を行います。
長期的に美しさをキープ出来る高品質の素材のみを使用し、審美専門の治療技術をご提供します。以前の施術にご不満をお持ちの方も多く来院され、多くのご相談をいただいています。
本格的にお口元を美しくされたい方は、ぜひ一度当院にご相談下さい。無料カウンセリングの段階から、あなたのキレイを一緒に考えていきましょう。
素材へのこだわり

オールセラミッククラウンとは
オールセラミッククラウンとは、クラウンの素材すべてにセラミックのみを使い、金属やプラスチックを一切含まないクラウンを指します。プラスチックが引き起こす変形・変色や、金属が引き起こす歯ぐきの黒ずみを防ぎ、金属アレルギーの方にも安心してご使用頂けるクラウンです。
経年劣化を起こさない素材を使用
当院で使用するクラウン(被せ物)は、オールセラミックの中でも良質と言われる、ジルコニア素材でつくられたクラウンです。変色・変形などの経年劣化を起こさず、歯ぐきの黒ずみも引き起こしません。また自然なツヤと透明感を持っている素材なので、審美的にご自分の歯と見分けがつかない程、自然に、美しく仕上がります。
施術へのこだわり
歯ぐきの0.5mm内側から立ち上げる技術
自由診療。治療期間、費用、施術の流れ、仕上がりに関しては個人差があります。シンプルデザインセラミック1本¥110,000。治療期間約2ヶ月半。
副作用(リスク):一時的に歯がしみたり、かみ合わせの違和感を感じることがあります。

セラミック治療を行うドクターは、歯ぐきの0.5mm内側からクラウンを立ち上げることにこだわっています。歯ぐきのラインよりもわずかに低い位置の歯を削ることで、歯ぐきの内側にクラウンを入れ込むことが出来、自然に生えているように見せることが出来ます。より自然に近い状態にするため、この0.5mmにこだわっています。
根元から先端へのグラデーション
自由診療。治療期間、費用、施術の流れ、仕上がりに関しては個人差があります。シンプルデザインセラミック1本¥110,000。治療期間約2ヶ月半。
副作用(リスク):一時的に歯がしみたり、かみ合わせの違和感を感じることがあります。

歯の色は、一色ではありません。歯の根元から先にかけて、何層もの色がグラデーションのように重なっています。
オールセラミッククラウンにより、この何層ものグラデーションを再現し、周囲に合わせた自然な色みを表現します。ご自分の歯と見分けがつかない程、自然な仕上がりになります。
切端には透明感
自由診療。治療期間、費用、施術の流れ、仕上がりに関しては個人差があります。シンプルデザインセラミック1本¥110,000。治療期間約2ヶ月半。
副作用(リスク):一時的に歯がしみたり、かみ合わせの違和感を感じることがあります。

切端(せったん)とは、歯の先端のことです。先端はエナメル質が厚いため、透明感があります。この透明感をオールセラミッククラウンで再現することにより、より自然な状態に仕上げることにこだわっています。
裏側も自然な白さに
当院で使用するオールセラミッククラウン(良質なジルコニア)は、裏側も自然な白さに合わせます。歯の裏をのぞき込んだら金属が…ということもなく、安心してお口を開けられます。
土台に白いファイバーポストコアを使用
自由診療。治療期間、費用、施術の流れ、仕上がりに関しては個人差があります。シンプルデザインセラミック1本¥110,000。治療期間約2ヶ月半。
副作用(リスク):一時的に歯がしみたり、かみ合わせの違和感を感じることがあります。

外側からは見えない、内側の土台にもこだわります。土台はグラスファイバー製の、ファイバーポストコアを使用しています。
透明感のあるオールセラミッククラウンを被せると、自然な白さが透けて見え、ご自分の歯のように仕上がります。金属を含んでいないので、変色や歯ぐきの黒ずみを引き起こすこともありません。
歯の形にもタイプがあります
ご希望の歯並び、歯の形に合わせてデザインしていきます。



あなたのお顔に合わせたクラウン

目と唇のラインと、先端をそろえる
通常、技工所にセラミッククラウンを作ってもらう場合、歯型やお口周りのデータのみを技工所に送ります。ですが当院ではよりお顔に合ったクラウンを作るため、お顔全体の写真を歯型などのデータと一緒に送ります。目のライン唇のラインと、クラウンの先(切端)のラインをそろえることで、自然でより美しい歯並びに整うように仕上げていきます。
顔の縦の中心線と歯軸を平行にする
顔の縦の中心線を正中(せいちゅう)と言います。この正中のラインと、歯軸(しじく:歯の縦の中心線)を平行にそろえることで、よりお顔になじんだ歯並びに整えることが出来ます。正中のラインも、個人により微妙に異なりますので、お口を開けた時にもっとも美しく、自然に見える状態にこだわっています。
色調を正確に把握し、デザインする
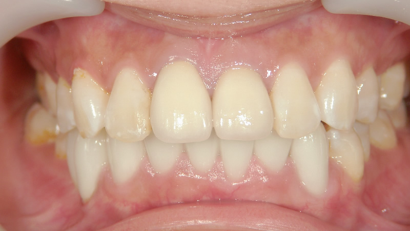
周囲と歯となじんだ仕上がり。上の前歯6本にオールセラミッククラウンをセット
自由診療。治療期間、費用、施術の流れ、仕上がりに関しては個人差があります。シンプルデザインセラミック1本¥110,000。治療期間約2ヶ月半。
副作用(リスク):一時的に歯がしみたり、かみ合わせの違和感を感じることがあります。
歯の色みを撮影する際に、当院では色調を正確に把握出来るよう、特殊なカメラを使用します。さらに撮影したデジタルデータを技工所に送り、技工所では歯1本の画像をパソコン画面いっぱいにまで引き延ばします。こうして歯の微妙な色調を正確に把握し、クラウンの色と形をデザインしています。ご自分の歯に限りなく近づけるため、こうした細かな作業を大切にしています。
ほかの治療との比較
| 施術の種類 | セラミッククラウン | 削らない ラミネートべニア | ラミネートべニア |
| 透明感 | ◎ | △ | 〇 |
| グラデーション | ◎ | △ | 〇 |
| 歯を 削りたくない | △ | ◎ | 〇 |
| 歯並びの改善 | ◎ | △ | 〇 |
| 強度 | ◎ | △ | 〇 |
| 手軽さ | △ | ◎ | 〇 |
オールセラミッククラウン料金・治療例
歯の黄ばみと歯並びが気になり、理想通りに整えたいとご相談に来院されたケース。憧れの芸能人のお写真をお持ちになり、カウンセリング段階から仕上がりイメージの共有をしっかりと行いました。
※自由診療。治療期間、費用、施術の流れ、仕上がりに関しては個人差があります。シンプルデザインセラミック1本¥110,000。治療期間約2ヶ月半。
副作用(リスク):一時的に歯がしみたり、かみ合わせの違和感を感じることがあります。
安心の保証とメンテナンス
当院では半年に1回のセラミックチェックを行っております。(1回¥5,500/税込)お口全体の噛み合わせやエアフローによる清掃などを行い、いつまでも美しい状態のセラミックをキープ出来るメンテナンスです。このチェックを受けて頂くと、通常使用時の万が一の破損などに無料で対応をさせて頂きます。
セラミックチェックの内容
・中心咬合位、前方運動、側方運動時の噛み合わせチェック
・セラミック部分のポリッシング
・エアフローによる歯面清掃
・お口全体の虫歯チェック
English
中文(简)
5/14-5/20の期間、ルミネカードによるお支払いで、
