- HOME
- オールセラミッククラウン
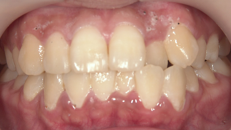
- セラミック治療例 歯並びを整えたい
歯並びを整えたい

歯並びをキレイに整えたい
| 施術内容 | 費用(税込) | 期間 | 
| シンプルデザイン6本 | ¥660,000 | 2ヶ月半 | 
| ホワイトニング3回12本 | ¥97,713 | 
分割5回払いの場合¥151,543/月(無利子)×5回=¥757,713
※自由診療。治療期間、費用、施術の流れ、仕上がりに関しては個人差があります。
副作用(リスク):一時的に歯がしみたり、かみ合わせの違和感を感じることがあります。
「幼い頃から、歯並びをキレイにしたいと思っていました」とカウンセリングで話していらっしゃいました。矯正治療ではなく、なるべく早く、色も白くしたいとのご希望でしたのでオールセラミックとホワイトニングの治療をご提案しました。
まずはご希望のセラミックの明るさに合わせて、周囲の歯のホワイトニング治療を行います。きちんと白くなるホワイトニング治療なので、笑った時に見える部分の白さと明るさがグッとアップしています。
そして歯並びを整えたい歯にオールセラミッククラウンをセットしていきます。噛み合わせやご希望の形、色、ツヤなど、細かな調整とご相談を重ねながらセットを進めます。治療後には見違えるようにお顔全体が明るくなりました。
前歯の虫歯をキレイにしたい
| 施術内容 | 費用(税込) | 期間 | 
| シンプルデザイン6本 | ¥660,000 | 1ヶ月半 | 
分割5回払いの場合¥132,000/月(無利子)×5回=¥660,000
※自由診療。治療期間、費用、施術の流れ、仕上がりに関しては個人差があります。
副作用(リスク):一時的に歯がしみたり、かみ合わせの違和感を感じることがあります。
こちらのケースでは前歯の虫歯が気になり、口を開けて笑うことが出来ないとメールカウンセリングでご相談をいただきました。虫歯予防には日頃のケアが必要不可欠であることをお伝えし、長期に渡って変色を起こさず白く明るいお口元をキープできるセラミックのセットがオススメだとお伝えしました。
後日来院され、虫歯になっている前歯すべてにオールセラミックをセットしたいとご希望されました。上の前歯6本にオールセラミッククラウンをセットし、曲がっていた歯やサイズの小さかった歯も、すべてキレイに整えました。
施術後にはお口元が明るくなったことでお顔全体の雰囲気がガラリと変わり、手を口に当てずに話される姿が印象的でした。

歯並びを整えながら白くしたい
| 施術内容 | 費用(税込) | 期間 | 
| セミデザイン12本 | ¥1,620,000 | 3ヶ月半 | 
| ホワイトニング3回8本 | ¥77,517 | 
分割10回払いの場合¥169,752/月(無利子)×10回=¥1,697,517
※自由診療。治療期間、費用、施術の流れ、仕上がりに関しては個人差があります。
副作用(リスク):一時的に歯がしみたり、かみ合わせの違和感を感じることがあります。
30代女性の方です。上下の歯をとにかくキレイにしたい、とのご相談でお見えになりました。左右2番目の歯が舌側に引っ込んでおり、全体的に黄ばみが目立つ点が特に気になるとおっしゃっていました。また1番前の歯の詰め物の変色も治したいと話していらっしゃいました。
歯並びを整えながら明るく白い歯に仕上げるため、上下12本へオールセラミックをセットし、周囲の歯に3回のホワイトニングコースを行いました。歯並びを整えるため、歯のサイズもキレイにそろうように仕上げていきます。
施術後にはずっと気になっていた歯がとてもキレイになり、現在も定期的なメンテナンスに来院されています。
歯の長さをそろえたい
| 施術内容 | 費用(税込) | 期間 | 
| セミデザイン2本 | ¥270,000 | 2ヶ月間 | 
| ホワイトニング4回12本 | ¥120,384 | 
分割5回払いの場合¥78,077/月(無利子)×5回=¥390,384
※自由診療。治療期間、費用、施術の流れ、仕上がりに関しては個人差があります。
副作用(リスク):一時的に歯がしみたり、かみ合わせの違和感を感じることがあります。
結婚を控え、歯の長さや色をキレイにしたいとご相談に来院されました。上の前歯2本がやや長く、歯の形がコンプレックスになっているとおっしゃっていました。
前歯2本にオールセラミックをセットし、周囲の歯に4回のホワイトニングコースを行いました。ホワイトニングをあわせて行ったことで、ご希望通りの明るさのセラミッククラウンをセットすることが出来ました。施術後には口元全体が明るくなり、挙式が楽しみだと笑顔でおっしゃって頂けたことが印象的でした。

離れた前歯をくっつけたい
| 施術内容 | 費用(税込) | 期間 | 
| セミデザイン4本 | ¥540,000 | 2ヶ月間 | 
| ホワイトニング3回8本 | ¥77,517 | 
分割5回払いの場合¥123,503/月(無利子)×5回=¥617,517
※自由診療。治療期間、費用、施術の流れ、仕上がりに関しては個人差があります。
副作用(リスク):一時的に歯がしみたり、かみ合わせの違和感を感じることがあります。
前歯2本が離れてしまっているが、矯正装置はつけたくないとのご希望でした。カウンセリング時には、下の歯の着色も気になっているとおっしゃっていました。
まずはカウンセリングを行い、短期間でキレイに仕上がるセラミック治療を行うこととなりました。周囲の歯とのバランスを考慮して、上の前歯4本にオールセラミックをセットし、周囲の歯には3回のホワイトニングコースを行います。
オールセラミッククラウンをセットした歯の見分けがつかない程、自然に仕上がりました。
上の前歯の歯並びを整えたい
| 施術内容 | 費用(税込) | 期間 | 
| セミデザイン4本 | ¥540,000 | 2ヶ月間 | 
| ホワイトニング3回10本 | ¥87,615 | 
分割5回払いの場合¥125,523/月(無利子)×5回=¥627,615
※自由診療。治療期間、費用、施術の流れ、仕上がりに関しては個人差があります。
副作用(リスク):一時的に歯がしみたり、かみ合わせの違和感を感じることがあります。
前歯の歯並びを整えたいとのご希望で、カウンセリングに来院されました。歯が重なり、やや前に出ている状態でしたので特に口を閉じた時に、上唇が出てしまうことがとても気になっているとお悩みでした。このような歯並びを整えるケースの場合、かみ合わせを細かく調整しながらのセラミック治療をおすすめしています。
カウンセリングの後、前歯4本へのオールセラミッククラウンのセットを選択されました。また、より白く明るい色のクラウンをセットするために、周囲の歯へのホワイトニングも希望されました。ホワイトニングでお口元全体を明るくした後、歯のサイズや角度の細かな調整を行いながら、上の前歯4本にオールセラミックをセットしていきます。
治療後には歯並びも色も自然な雰囲気で仕上がり、唇もキレイに閉じることが出来ました。お口元に手を当てずに笑っていた姿がとても印象的でした。
 English
English 中文(简)
中文(简)
 











