- HOME
- オールセラミッククラウン
- セラミック治療例 前歯の変色をキレイにしたい
前歯の変色をキレイにしたい

前歯の変色を白くキレイにしたい
| 施術内容 | 費用(税込) | 期間 |
| セミデザイン4本 | ¥540,000 | 2ヶ月 |
| ホワイトニング4回8本 | ¥93,456 |
分割5回払いの場合¥126,691/月(無利子)×5回=¥633,456
※自由診療。治療期間、費用、施術の流れ、仕上がりに関しては個人差があります。
副作用(リスク):一時的に歯がしみたり、かみ合わせの違和感を感じることがあります。
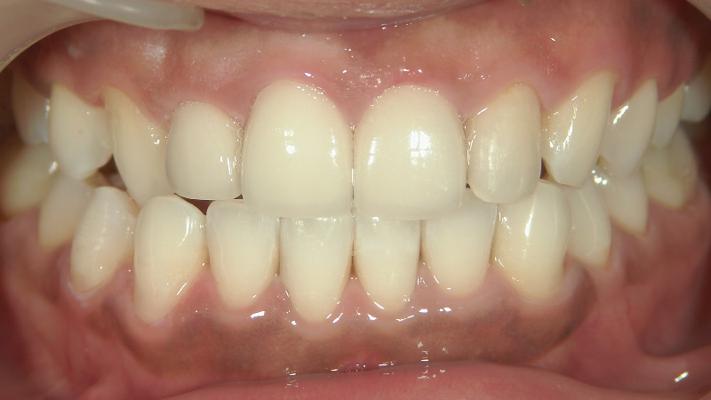
以前の被せ物の変色をキレイにしたい、とのご相談で来院されました。前歯のかぶせ物が経年劣化により、黄色っぽく変色を起こしています。このような被せ物の変色はホワイトニングでは白くならないので、変色を起こさない被せ物に取り替える治療を行います。カウンセリング時に、下の歯の黄ばみも気になるとおっしゃっていたので、ホワイトニングも合わせて行うプランを立てました。
上の前歯4本にオールセラミッククラウンをセットし、下の歯に4回のホワイトニングコースを行いました。ホワイトニングにより特に下の歯の先端が白くなり、笑った時に見える歯全体が白く明るくなりました。
上の歯のクラウンも、自然なツヤと透明感のある状態に仕上がっています。今回セットしたオールセラミックタイプのクラウンは、経年劣化による変色を起こしませんので、変色や黒ずみの心配がありません。
変色や歯のサイズが気になる
| 施術内容 | 費用(税込) | 期間 |
| セミデザイン4本 | ¥540,000 | 1ヶ月半 |
分割5回払いの場合¥110,000/月(無利子)×5回=¥540,000
※自由診療。治療期間、費用、施術の流れ、仕上がりに関しては個人差があります。
副作用(リスク):一時的に歯がしみたり、かみ合わせの違和感を感じることがあります。
以前歯を強くぶつけたことがあり、その部分から変色が始まってしまったと相談に来院されました。神経が死んでしまった歯は、内側から少しずつ黒ずんできてしまいます。
詳しくご希望を伺うと、歯のサイズなどもキレイに整えたいとのことでしたので、全体のバランスをそろえるために前歯4本での施術をお勧めしました。歯の形などを大きく変える場合には、左右対称での偶数本にセットすると、バランスよく仕上がります。
治療後変色や黒ずみが改善され、お顔全体が明るく見えるようになりました。

歯の変色をキレイにしたい
| 施術内容 | 費用(税込) | 期間 |
| セミデザイン3本 | ¥405,000 | 1ヶ月半 |
| ホワイトニング3回10本 | ¥87,615 |
分割5回払いの場合¥98,523/月(無利子)×5回=¥492,615
※自由診療。治療期間、費用、施術の流れ、仕上がりに関しては個人差があります。
副作用(リスク):一時的に歯がしみたり、かみ合わせの違和感を感じることがあります。
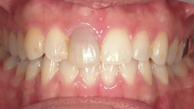
以前セットした被せ物の変色が気になると、ご相談にいらっしゃいました。プラスチックなどを含んだ素材のため、経年劣化による変色を起こしていると思われます。
神経の処置をした歯の変色は、ホワイトニングではキレイに白くすることが難しいため、セラミックでの審美歯科治療をご提案しました。神経の古い詰め物を完全に取り除き、薬をしっかりとつめ、白いグラスファイバーの土台で補強を行います。
上に被せるオールセラミッククラウンは透明度が高いため、白い土台を使用することでより白く、自然な明るさと透明感に仕上げることが出来ます。かぶせ物だけでなく、土台の色味にも気を配ることが当院のこだわりです。
セラミック治療の前にホワイトニングも行い、終了後には全体的に白く明るいお口元に仕上がりました。
前歯の変色をキレイにしたい
| 施術内容 | 費用(税込) | 期間 |
| シンプルデザイン2本 | ¥220,000 | 2ヶ月半 |
| ホワイトニング3回12本 | ¥97,713 |
分割5回払いの場合¥63,543/月(無利子)×5回=¥317,713
※自由診療。治療期間、費用、施術の流れ、仕上がりに関しては個人差があります。
副作用(リスク):一時的に歯がしみたり、かみ合わせの違和感を感じることがあります。
以前の治療箇所の変色をキレイにしたいと、カウンセリングに来院されました。向かって右側の前歯の内側から変色が始まっており、全体的に黒ずんでしまっています。また左右2番目の詰め物も変色が始まっています。
まずは神経の処置を行います。神経の跡にはしっかりと薬をつめ、白いクラスファイバーの土台で補強を行います。また前歯は最も目立つ部分になりますので、隣の歯とのバランスを考慮して、前歯2本にオールセラミックによるかぶせ物をセットすることをご提案しました。
カウンセリング後には周囲の歯へのホワイトニングと、前歯2本にオールセラミックをセットしたいと希望されました。加えて変色を起こし始めている左右2番目の歯には、新しい詰め物をセットしなおします。治療後には変色はキレイに治り、周囲の歯も白く明るく仕上がっています。左右のバランスもキレイで、とても自然に仕上がっています。

歯の変色を治したい
| 施術内容 | 費用(税込) | 期間 |
| セミデザイン1本 | ¥135,000 | 3週間 |
分割5回払いの場合¥27,000/月(無利子)×5回=¥135,000
※自由診療。治療期間、費用、施術の流れ、仕上がりに関しては個人差があります。
副作用(リスク):一時的に歯がしみたり、かみ合わせの違和感を感じることがあります。
前歯の黒ずみが気になると、ご相談に来院されました。以前どこかにぶつけてしまったとのことで、神経が死んでしまい、歯全体の変色を引き起こしてる状態でした。
このようなケースの場合、かぶせ物をセットをしなおすことでキレイに仕上げていきますが、素材に金属が含まれていると将来的にブラックマージンを引き起こしたり、歯肉に変色を起こしてしまいます。またプラスチックが含まれていると、変色を引き起こしたり、他の歯に合わせた自然な色調のコントロールが難しくなってしまいます。
カウンセリング後には、周囲の歯となじむ色と形にそろえて、前歯1本にオールセラミッククラウンのセットをご希望されました。仮歯の段階で、セットする歯の角度や色、大きさなどを細かくチェックしていきます。実際にオールセラミッククラウンの色調やツヤを決定する時には、技工所でPCの画面めいっぱいに歯を引き延ばして、細かな調整を行うなど、自然な仕上がりにこだわっています。
治療後には、他の歯の治療やホワイトニングについても熱心に質問を頂きました。
English
中文(简)
5/14-5/20の期間、ルミネカードによるお支払いで、








