- HOME
- 12本以上のセラミック治療「セラミックスマイルプラン」
前歯をまとめて美しく整えるセラミックスマイルプラン
セラミックスマイルプランは、前歯を中心に複数本のセラミック治療を検討されている方向けのパッケージ型セラミック治療プランです。歯並び・歯の形・歯の色をトータルで整えたい方に向けて、本数・ご希望・ご予算に応じた最適な治療設計をご提案しています。
セラミック治療とは

セラミック治療とは、歯の色・形・バランスをセラミック素材で整え、見た目の美しさと噛み合わせの機能性を両立させる審美歯科治療です。
セラミック治療を検討される方の多くが、「自然な白さ」「長期的な耐久性」「将来を見据えた治療」を重視して選ばれています。治療方法や素材の違いについて詳しく知りたい方は、セラミック治療のこだわりをご覧ください。
セラミック治療を検討する方にホワイトホワイトが選ばれる理由

複数院で変わらない共通の治療基準
ホワイトホワイトでは、各院すべてで共通の治療基準を設け、セラミック治療専門医の監修のもとで治療を行っています。院によって仕上がりや方針が変わる心配はありません。
セラミック治療専門医による監修体制
セラミック治療は、歯の削り方・色調設計・噛み合わせ設計に高度な専門性が求められます。ホワイトホワイトでは、セラミック治療を専門とする歯科医師が監修し、各院で安定した品質の治療を提供しています。
東京でセラミック治療をご検討中の方は、医院全体の実績・症例・対応治療をまとめたトップページもあわせてご覧ください。
セラミックスマイルプラン症例Treatment Example
上下の前歯の歯のお色・形まで理想的に
※自由診療。治療期間、費用、施術の流れ、仕上がりに関しては個人差があります。シンプル・オールセラミッククラウン1本¥110,000。治療期間約2ヶ月半。
副作用(リスク):一時的に歯がしみたり、かみ合わせの違和感を感じることがあります。
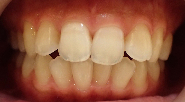
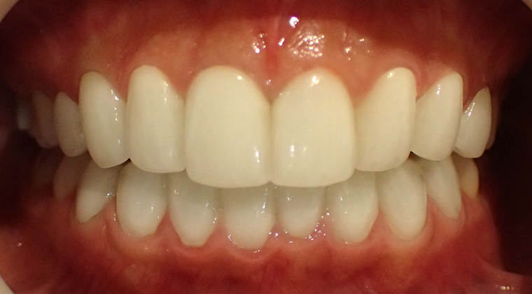
テトラサイクリン歯と変色した差し歯にまとめてセラミック治療を行うことで、透明感のある白い歯に仕上げました。
まとめた本数にセラミック治療を行う場合、よりきめ細かく患者様のご希望とする歯のお色や形・大きさに仕上げることができます。
古くなった被せ物を白くしたい
※自由診療。治療期間、費用、施術の流れ、仕上がりに関しては個人差があります。シンプル・オールセラミッククラウン1本¥110,000。治療期間約2ヶ月半。
副作用(リスク):一時的に歯がしみたり、かみ合わせの違和感を感じることがあります。
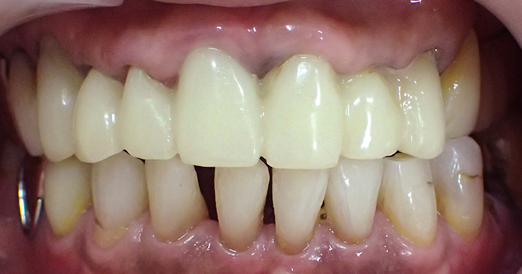
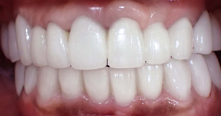
以前の被せ物の跡をまとめてキレイに治し、全体を白く仕上げたいとご相談いただきました。
ホワイトニング以上の白さをご希望され、当院の「スーパーホワイトセラミック」といわれる明るめの白さのセラミックをお選びいただきました。
まとめた本数のセラミック治療では、ナチュラルな白さからホワイトニング以上の真っ白な白さまでご希望に合わせて細かくお色をお選びいただけます。
全体的なバランスが整い、若々しい印象の美しいお口元になりました。
歯を白く整えながら歯並びも改善したい
※自由診療。治療期間、費用、施術の流れ、仕上がりに関しては個人差があります。シンプル・オールセラミッククラウン1本¥110,000。治療期間約2ヶ月半。
副作用(リスク):一時的に歯がしみたり、かみ合わせの違和感を感じることがあります。
歯を白く整えながら、歯並びや噛み合わせをきれいにしたいとご相談いただきました。
全体的に噛み合わせが強く上の歯が重なっていたり、上下の噛み合わせがズレている箇所が目立ちました。
全体的な噛み合わせ・歯並びを整えながら、ご希望の白さをシェードガイドで合わせながら細かく仕上がりのイメージを共有して治療を進めました。
前・横からみても美しい仕上がりのお口元になりました。
歯並び・歯のお色・歯の形を理想通りに
※自由診療。治療期間、費用、施術の流れ、仕上がりに関しては個人差があります。シンプル・オールセラミッククラウン1本¥110,000。治療期間約2ヶ月半。
副作用(リスク):一時的に歯がしみたり、かみ合わせの違和感を感じることがあります。
少し前に突出ぎみだった歯並びや、歯のお色を改善したいとのご希望をいただきました。上下のがたつきのあった歯並びを、まとめた本数にセラミック治療を行うことで改善しました。
もとの歯よりも長さを出し、形も四角めにすることでより整った印象のお口元に仕上げました。また、歯のお色もホワイトニング以上の白さすることで、ナチュラルでありながらも華やかな印象のお口元になりました。
変色した差し歯・歯のすき間を短期改善
※自由診療。治療期間、費用、施術の流れ、仕上がりに関しては個人差があります。シンプル・オールセラミッククラウン1本¥110,000。治療期間約2ヶ月半。
副作用(リスク):一時的に歯がしみたり、かみ合わせの違和感を感じることがあります。
以前に他院で治療をされた上の前歯の変色・下の歯のすき間や全体的な歯のお色を改善されたいとご相談をいただきました。上下12本以上のまとめた本数のセラミック治療により、変色した差し歯・歯のすき間・お色を短期間に改善しました。
透明感のあるセラミックは変色や劣化の心配がなく、長く美しいお口元をキープしていただけます。ミリ単位まで美しい審美専門の当院ならではの治療で、機能面と審美面両方からご安心いただけます。
歯の白さ・歯の大きさ・歯の形を理想通りにデザイン
※自由診療。治療期間、費用、施術の流れ、仕上がりに関しては個人差があります。シンプル・オールセラミッククラウン1本¥110,000。治療期間約2ヶ月半。
副作用(リスク):一時的に歯がしみたり、かみ合わせの違和感を感じることがあります。
上の前歯を少し丸みのある可愛らしいデザインに仕上げ、下の歯はもともとすき間がありましたがすき間を改善しバランスの良い前歯になりました。
セラミックスマイルプランは、口元の印象だけでなくお顔のイメージを理想的に仕上げたい方にも人気があります。美容整形の総仕上げとしてもおススメです。
お悩みに合わせた治療症例をInstagramでチェック
25年以上に渡り審美治療専門だからこその圧倒的な症例数。お悩みに合わせた症例は、Instagram内ハイライトや各投稿から詳しくご覧いただけます。
セラミックスマイルプランだから出来ること

白さ・歯の形・歯の大きさまで理想通りに
まとめた本数にセラミック治療を行う場合、上下左右の天然歯のお色や形にセラミックを合わせる必要がありません。
そのため、患者様の理想通りのデザインに仕上げることができます。ご希望とされる芸能人の方のお口元のお写真を持ってきていただき、そちらに合わせて治療を進めることも可能です。
ナチュラルな白さから真っ白なお色までお選びいただけます

ホワイトニング後のようなナチュラルな白さから、目立つくらいの真っ白なお色までお好きなイメージのお色をお選びいただけます。
お色味も細かく選んでいただけるので、イメージとされるモデル・女優・芸能人と同じ白さに仕上げることが可能です。
セラミックスマイルプラン6つの安心
01単品治療より15%以上お得

1本ごとの治療を組み合わせるよりも、総額で15%以上もお得。セラミックスマイルプランだから実現できた、お得な特別料金設定となります。
02デンタルローン・無利息の院内分割

治療費は分割でお支払い可能。そして院内分割をご利用いただくことで無利息で分割払いをご選択いただけます。また、提携のデンタルローンもご利用いただけます。お支払い方法もお気軽にご相談ください。
03保険証不要

自費治療のプランになるため、保険証は必要ありません。保険証をご提示いただく必要がありませんので、お持ちでない方も安心してご利用ください。
04キレイな仮歯で当日も安心
仮歯のイメージ。角度やラインも調整します
治療中、歯が抜けている期間はありません。本番のセラミックをセットするまでの仮歯期間中には仮歯をセットしますので、いつでも安心して治療をスタートできます。
05イベントやスケジュールに合わせて治療日程を柔軟に調整

大切なイベントやスケジュール合わせて治療の日程を柔軟に調整いたします。
また、遠方からお越しの方やお忙しい方に向けた短期集中プランもご用意。一度のご来院でできるだけ多く治療を進めることで、通院回数を少なくいたします。
06良質なジルコニア素材を厳選

ひとくちに「セラミッククラウン」と言っても、中には金属やプラスチックを含み、治療数年後に変色や変形を起こすケースもあるようです。当院ではオールセラミッククラウンの中でも良質と言われる、ジルコニア素材のみでつくられたクラウンを採用しています。
遠方からお越しの方に向けた交通費一部補助制度について
遠方からお越しの方に向けた補助制度がございます。また、できるだけ通院回数を減らしたプランなど、柔軟な治療スケジュールを組ませていただきます。
お得な3つのセラミックスマイルプラン
ベーシックなスタンダードプラン
上下の前歯12本セラミック+周囲の歯4本ホワイトニング
前歯12本セラミック+ホワイトニングイメージ
自由診療。治療期間、費用、施術の流れ、仕上がりに関しては個人差があります。治療期間約2ヶ月半。
副作用(リスク):一時的に歯がしみたり、かみ合わせの違和感を感じることがあります。
笑った時や食事時に見える上下の前歯12本をご希望の色と形に仕上げ、周囲の歯にはホワイトニングを行います。12本のセラミック治療には金属やプラスチックを一切含まないオールセラミックを採用。ホワイトニングは3回のオフィスホワイトニングを行い、しっかり白く明るく仕上げます。
プラン料金 ¥1,785,000
分割10回払いの場合¥178,500/月(無利子)×10回=¥1,785,000
提携デンタルローンはお問い合わせください
ハリウッドスマイルのような華やかプラン
上下の前歯16本セラミック
前歯16本セラミックイメージ
自由診療。治療期間、費用、施術の流れ、仕上がりに関しては個人差があります。治療期間約2ヶ月半。
副作用(リスク):一時的に歯がしみたり、かみ合わせの違和感を感じることがあります。
笑った時に見える上下の前歯16本をご希望の色と形に仕上げます。16本のセラミック治療には金属やプラスチックを一切含まないオールセラミックを採用。お口元全体が整い白く明るくなるため、お顔全体も明るい印象となります。
プラン料金 ¥2,380,000
分割14回払いの場合¥170,000/月(無利子)×14回=¥2,380,000
提携デンタルローンはお問い合わせください
全方向、完璧な笑顔のプレミアムプラン
上下の前歯20本セラミック
前歯20本セラミックイメージ
自由診療。治療期間、費用、施術の流れ、仕上がりに関しては個人差があります。治療期間約2ヶ月半。
副作用(リスク):一時的に歯がしみたり、かみ合わせの違和感を感じることがあります。
笑った時に見える上下の前歯20本をご希望の色と形に仕上げます。20本のセラミック治療には金属やプラスチックを一切含まないオールセラミックを採用。大きく口を開けて笑った時も白く明るい歯がのぞき、どの角度から見ても美しい仕上がりとなります。
プラン料金 ¥2,975,000
分割20回払いの場合¥148,750/月(無利子)×20回=¥2,975,000
提携デンタルローンはお問い合わせください
どのプランも神経の治療および歯肉切除はオプションとなり、1本につき別途11,000円となります。
私たちが治療を担当いたします
総院長 石井府中
25年以上にわたり、セラミック治療・矯正治療を中心とした審美歯科治療を行ってきた実績。ミリ単位まで美しい治療は、多くの芸能人の方にも定評があります。恵比寿本店・ルミネ有楽町店を担当。
審美歯科医師/ルミネ新宿院 院長 石井李奈
女性ならではのきめ細かな審美歯科治療をご提案。患者様に寄り添った丁寧な治療は、数多くの患者様にお喜びいただいております。恵比寿本店・ルミネ新宿店を担当。
※本ページは審美歯科治療に25年以上従事する医師が監修しています。
柔軟なお支払い方法に対応PAYMENT
各種クレジットカードによる分割払いはもちろんのこと、患者さまのご希望に合わせた柔軟なお支払い方法に対応しております。ご希望のお支払い方法にできる限り寄り添いますので、お支払いについてもお気軽にご相談ください。
- 院内無利息分割払い無利息での現金やクレジットカードによる院内での分割払いが可能です。お支払いペースもご相談ください。
- LUMINEカードでのお支払い各店舗がLUMINEにもございますので、LUMINEカードでのお支払いが可能です。年に数回のLUMINEバーゲンでよりお得に審美治療を受けていただけます。
- デンタルローンに対応webサイトから簡単にお申込みのできるオリコのデンタルローンに対応しております。最大84回まで分割可能です。
- 各種QRコード決済が使えます
すべての審美歯科治療でpaypay・楽天ペイ・d払いなど、各種QRコード決済が行えます。柔軟なお支払い方法について
セラミックスマイルプランついて無料カウンセリングでご相談ください
セラミックスマイルプランは、まとめた本数にセラミック治療を行うことでより細かく理想とされるお口元に仕上げることができます。
ご希望とされるお色味や形・お口元のイメージをカウンセリング時だけでなく各治療ステップごとに細かく確認しながら治療を進めていきます。
25年以上にわたり審美治療を専門としてきた当院に、まず無料カウンセリングでご相談ください。
よくあるご質問(セラミック治療・まとめ治療)
- Q1. セラミック治療とはどのような治療ですか?
A セラミック治療とは、天然歯に近い色調や透明感を持つセラミック素材を使用し、歯の色・形・大きさ・バランスを整える審美歯科治療です。 前歯を中心に複数本まとめて行うことで、口元全体の印象を大きく改善できます。
専門家コメント:審美歯科医師/ルミネ新宿院 院長 石井李奈
セラミック治療は「1本単位」ではなく、口元全体の調和を考えて設計することが重要です。当院では笑った時の見え方や顔立ちとのバランスまで考慮して治療計画を立てています。- Q2. セラミックをまとめて治療するメリットは何ですか?
A 複数本をまとめて治療することで、口元全体の仕上がりを統一しやすくなり、審美性の高い仕上がりが期待できます。
- 歯の色・形を均一に整えられる
- 歯並びやすきっ歯、出っ歯感を同時に改善できる
- 全体のバランスが整い、完成度が高くなる
特に前歯の印象を大きく変えたい方に適した治療方法です。
- Q3. セラミック治療はどのくらいの期間で終わりますか?
A 症例や治療本数によって異なりますが、一般的には 2〜3ヶ月程度 で治療が完了するケースが多いです。ワイヤー矯正のように年単位の治療期間が必要ない点も特徴です。
専門家コメント:審美歯科医師/ルミネ新宿院 院長 石井李奈
遠方からお越しの方に向けた短期集中治療では、より短い期間にセラミック治療を完了することもできます。いつまでに治療を完了されたいかについても、無料カウンセリング時に詳しくご相談いたします。- Q4. セラミック治療は後戻りしますか?
A セラミック治療は歯を移動させる治療ではなく、セラミックで歯の形を整える治療のため、ワイヤー矯正のような歯の後戻りは起こりにくいとされています。ただし、歯ぎしりや噛み合わせなどの影響を受ける場合があります。
- Q5. セラミック治療はどんな人に向いていますか?
A セラミック治療は、以下のような方に向いています。
- 前歯の見た目を短期間で改善したい方
- 歯並び・色・形を同時に整えたい方
- ワイヤー矯正に抵抗がある方
専門家コメント:審美歯科医師/ルミネ新宿院 院長 石井李奈
噛み合わせや歯の状態によっては、他の治療法が適している場合もあります。
まずはカウンセリングでしっかり診断することが大切です。
English
中文(简)











