- HOME
- ブライダルホワイトニング
- ブライダルホワイトニング 料金
ブライダルホワイトニングコース 料金
当日、自信を持って迎えられるお口元に
式まであと2ヶ月で白くしたい
| 施術内容 | 費用(税込) | 期間 |
| ブライダル3回12本コース | ¥107,613 | 1ヶ月間 |
分割4回払いの場合¥26,903/月(無利子)×4回=¥107,613
※自由診療。治療期間、費用、施術の流れ、仕上がりに関しては個人差があります。
副作用(リスク):一時的に歯がしみることがあります。
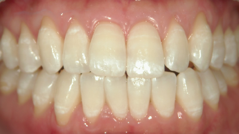
挙式まであと2ヶ月とのことで、お急ぎで歯を白くしたいとカウンセリングにいらっしゃいました。お肌がとても白い方で、ドレスと合わせた際に歯の黄ばみが目立ってしまったと話していました。
お急ぎで白くしたいとご希望でしたので、Only 3 Daysを使用したブライダルホワイトニングコースをおすすめしました。Only 3 Daysを使用したブライダルコースは、早く効果的にお口元を白くできるだけでなく結婚式直前にツヤだしのポリッシングも含まれていますので、最高の状態で結婚式にのぞむことができます。
オフィスホワイトニングが3回のブライダルコースを選択され、終了時には見違えるほど、お口元が白く明るくなっていました。白いお肌にも負けないくらいの仕上がりで、お顔善全体がパッと明るくなったのが印象的でした。
打ち合わせで黄ばみが気になった
| 施術内容 | 費用(税込) | 期間 |
| ブライダル4回12本コース | ¥130,284 | 1ヶ月半 |
分割4回払いの場合¥32,571/月(無利子)×4回=¥130,284
※自由診療。治療期間、費用、施術の流れ、仕上がりに関しては個人差があります。
副作用(リスク):一時的に歯がしみることがあります。
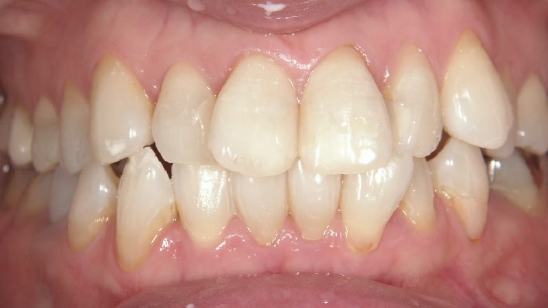
結婚式を控えてドレス合わせを行った際に、歯の黄ばみが気になったとご相談にいらっしゃいました。ホワイトホワイトではカウンセリング時に、無料で歯のお色を専用の機械(シェードアイ)で数値測定しています。こちらの方はあと3段階ほど明るくしたいとご希望でした。
ブライダルホワイトニングコースの内容をご説明し、オフィスホワイトニングが4回のコースを選択されました。オフィスホワイトニングが1回終わるごとに、きちんとシェードアイで歯のお色を数値確認していきますので、どの位白くなっているかがきちんとご確認いただけます。
全4回のホワイトニングとポリッシングが終わり、シェードアイでの数値も4段階近く白さと明るさがアップしました。お口元全体が明るくなったことで、お顔全体が明るく、若々しく見えました。

新婦と一緒に白くしたい
| 施術内容 | 費用(税込) | 期間 |
| ブライダル4回14本コース | ¥143,748 | 2ヶ月間 |
分割4回払いの場合¥35,937/月(無利子)×4回=¥143,748
※自由診療。治療期間、費用、施術の流れ、仕上がりに関しては個人差があります。
副作用(リスク):一時的に歯がしみることがあります。
こちらは新婦さまとご一緒に来院された、新郎さまです。当初はホワイトニングするつもりはなかったとのことですが、どんどんお口元が明るくなる花嫁さまを見て、ご自身もカウンセリングに来院されました。
花嫁さま同様、全4回のオフィスホワイトニングを行うブライダルホワイトニングコースをご選択されました。シェードアイによる数値測定がとても楽しみだとおっしゃっており、毎回行う事をお伝えしたところ「客観的に分かるなら、安心してお任せ出来ます」とおっしゃっていただきました。
結婚式までの日にちに合わせてご予約を入れられ、全4回のコースがスタートしました。治療中にはご自宅でも熱心にホームホワイトニングをご使用下さり、またコーヒーなどの色の濃いものの摂取も控えていらっしゃいました。1回のオフィスホワイトニングが終了するごとに、どんどん歯のお色が白く明るくなり、ご本人様も驚いていらっしゃいました。
全4回のオフィスホワイトニングが終了し、最後のシェードアイでの数値測定では3段階ほど数値がアップしていました。挙式直前にはツヤだしのポリッシングも行い、新婦さまとそろって素敵なお口元に仕上がりました。
ご友人のご紹介で来院
| 施術内容 | 費用(税込) | 期間 |
| ブライダル3回16本コース | ¥153,371 | 1ヶ月半 |
分割4回払いの場合¥38,343/月(無利子)×4回=¥153,371
※自由診療。治療期間、費用、施術の流れ、仕上がりに関しては個人差があります。
副作用(リスク):一時的に歯がしみることがあります。
ご友人から紹介されて、とカウンセリングに来院されました。挙式は半年以上先とのことでしたが、歯の色が気になり、数値できちんと測定したいとご希望でした。まずは無料で歯のお色を数値測定し、もしホワイトニングされた場合はどの程度まで雰囲気が変わるか・というのをシュミレーションしました。
出来れば結婚式までに3段階色を上げたいと希望され、ブライダルホワイトニングコースを選択されました。実際の施術では、ホワイトニングの施術1回ごとに数値測定を行い、きちんと白さと明るさがステップアップしていくのを確認して頂きました。
全てのブライダルホワイトニングが終了し、お顔全体も明るく生き生きとして見えました。最後の仕上げのツヤだしを特に気に入って頂けたようで、当日がとても楽しみだとおっしゃっていました。

痛くないホワイトニングで白くしたい
| 施術内容 | 費用(税込) | 期間 |
| ブライダル4回16本コース | ¥188,654 | 2ヶ月間 |
分割4回払いの場合¥47,164/月(無利子)×4回=¥188,654
※自由診療。治療期間、費用、施術の流れ、仕上がりに関しては個人差があります。
副作用(リスク):一時的に歯がしみることがあります。
痛みを感じやすい体質だが、挙式までに白くしたいとご相談に来院されました。過去のホワイトニングでは、痛みのために途中で治療を中断されたと話していらっしゃいました。
当院ではホワイトニング前に、痛みが出るかどうかを1歯だけで試したり、光を当てないホワイトニングをすることで痛みを出させないようにしています。特に最新のホワイトニングOnly 3 Daysを組み込んだブライダルホワイトニングは、特殊なジェルのみを使用してホワイトニングを行いますので、歯が熱を持たず、痛みやしみる感覚がでることは殆どありません。
治療中には感覚をお伺いしながら、ゆっくりと進めていきました。途中で痛みのために中断することはなく、最後までブライダルコースを行うことが出来ました。
治療後にはお口元全体が明るくなり、専用の測定機械(シェードアイ)でも4段階ほど白くステップアップされていました。
English
中文(简)
すべての審美歯科治療でLUMINEカードをご利用いただけます。








