Only3Days
ジェルのみで行う次世代ホワイトニング
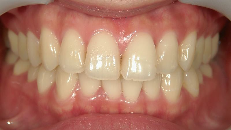
専用の機械で歯の色の変化をチェックします
Only 3 Daysとは、光もレーザーも使用せず、特殊な専用ジェルのみで行う新しいホワイトニングです。歯の温度を上げることなく施術を行いますので、痛みを感じることが少ないホワイトニングです。
Only 3 Daysのポイント
- 特殊な専用ジェルのみ
- 歯が全く熱を持たないので、しみるような痛みや歯への負担が最小限
- 通常必要なクールダウンの期間が不要で、連日の施術が可能
- 特に遠方から来院される方、お時間の無い方、結婚式を間近に控えた方などにもお勧め
- 簡易的で格安のホワイトニングとは薬剤や術式が全く異なり、仕上がりの白さ・透明感・定着度が非常に優れています。以前のホワイトニングで白さに満足出来なかった方にも、自信を持ってお勧めしています
ホワイトニングの流れ
しっかり白くするために、大切なステップがいくつもあります。全体の施術の流れをご紹介します。
1.まずはカウンセリング(無料)
まずはカウンセリングを行います。現在の歯のお色のチェックや、ご希望の白さ等をお伺いします。治療がスタートする前に、金額や全体の流れをきちんと説明いたします。疑問や不安など、気になることは何でもご質問ください。
Point 治療前に、シェードアイという専用の機械を使用して歯の色を測定します。「なんとなく白くなったかな?」ではなく、どの位白く明るくなったのかを数値でしっかりと確認して頂けます。
2.歯の汚れをエアフローでお掃除
ホワイトニング前に、エアフローを使って汚れをしっかり落とします。空気と水を高圧で噴射するエアフローを使うことで、目に見えない汚れや、歯ブラシでは落ちない汚れを落とすことが出来ます。白くなる効果をしっかり高めるための、大切なステップです。
3.歯ぐきの安全もしっかり配慮
オフィスホワイトニングに使用されるジェルは濃度が高いので、歯ぐきに触れないよう、特殊な薬でしっかりカバーします。歯1本1本に行うので手間のかかるステップですが、着色が濃くなりやすい歯の根元までしっかり白くするために必要なステップです。
4.特殊なジェルのみでホワイトニング
特殊なホワイトニング用ジェル、BOOST(ブースト)。レーザーや光を当てることなく、ジェルのみで施術を行うことが出来ます。最大のメリットは歯に熱を持たせないこと。しみるような痛みを感じることなく施術を受けて頂けます。歯が熱を持たないので、クールダウン期間を空けずに連日の施術も可能になりました。
5.ハイドロキシアパタイト トリートメント
歯科医院だけに流通している、特別な歯磨き粉を使って歯のトリートメントケアを行います。ホワイトニング後に無防備になっている歯表面をなめらかに整え、ホワイトニング効果をグッと高める効果があります。
6.結果を数値で確認
終了後には、再度シェードアイで歯のお色を測定します。シェードガイドと見比べるだけではないので、1回ごとの効果を患者さまにも納得して頂けます。
Point 当院では歯を休ませる期間が不要のため、1度の施術で最低2回のホワイトニング剤の塗布を行っています。
ホワイトニング治療例
| 施術内容 | 費用(税込) | 期間 |
| 3回14本コース | ¥107,811 | 4週間 |
※自由診療。治療期間、費用、施術の流れ、仕上がりに関しては個人差があります。
副作用(リスク):一時的に歯がしみることがあります。
English
中文(简)
すべての審美歯科治療でLUMINEカードをご利用いただけます。
