- HOME
- エナメル質形成不善(MIH)とは
エナメル質形成不善(MIH)とは

エナメル質形成不善(MIH)は、何らかの原因で歯の表面のエナメル質が正常に形成されなかった状態のことをいいます。歯の表面に白や茶色の斑点や、色ムラが現れて見えます。
初期の虫歯と似ていますが、虫歯は進行すると穴があいたり黒く変色するのに対してエナメル質形成不善(MIH)はずっと白い状態です。
長期間歯に白い色ムラがある場合には、エナメル質形成不善(MIH)の可能性があります。
エナメル質形成不善(MIH)は奥歯にも現れますが、特に前歯に現れやすいと言われています。
エナメル質形成不善(MIH)の症状と影響
エナメル質形成不善は重篤な症状をきたすことはあまりありませんが、以下のような症状や影響を及ぼすことがあります。
01審美的な影響
特にエナメル質形成不善(MIH)が前歯にあることで、笑った時に歯の色むらが目立ちコンプレックスに感じてしまうことがあります。
つい口元を手で隠してしまう・大きく笑えないなど、心理的負担になってしまうこともあります。
虫歯になりやすい
エナメル質は歯の表面を覆う硬い組織で、歯をガードする役割を担います。
エナメル質形成不善(MIH)ではエナメル質が通常より薄い状態のためガードが弱く、虫歯になりやすいです。
また、虫歯の進行も早くなるといわれています。
歯の形が悪くなる場合がある
エナメル質が多く欠損したエナメル質形成不善(MIH)の場合、歯の形にも影響を及ぼすことがあります。
くぼみや溝のような状態となったり、歯の形が変形してしまうケースもあります。
エナメル質形成不善(MIH)の原因

エナメル質形成不善(MHI)の原因は様々で、環境や遺伝・栄養状態などにより発生すると考えられています。また、妊娠中の栄養状態・全身疾患が影響して、お子さんにエナメル質形成不善(MIH)がみられることもあります。
そのほか乳歯が外傷を受けたり虫歯が進行すると、後から生える永久歯に影響を及ぼしてエナメル質形成不善(MIH)になるケースもあります。
ターナー歯とは
「ターナー歯」とは永久歯に現れるエナメル質形成不全(MIH)の一種で、通常1本の歯に限局して異常が現れるのが特徴です。乳歯の虫歯や転倒などによる外傷から生じた感染や炎症が、すぐ下に控えている永久歯のエナメル芽細胞にダメージを与えます。
その結果、永久歯のエナメル質の一部が正常に形成されなくなり、エナメル質形成不善(MIH)として現れます。
エナメル質形成不善(MIH)の治療法

MIペースト
MIペーストは、再石灰化といってエナメル質を石灰化させて強度を高める効果があります。
色むらを完全に消すことは難しいですが、軽度のエナメル質形成不善歯にMIペーストを塗布することで虫歯になりにくくする効果が期待できます。
※ホワイトホワイトではMIペースト治療を行っておりません
CR(ダイレクトボンディング)
エナメル質形成不善歯の色むら部分を削り、CRと呼ばれるプラスチックを詰める治療法です。
一時的に色むらを改善することができますが、プラスチックは吸水性の素材のため時間と共に劣化して歯との間に隙間があいて内側が虫歯になったり、CRが茶色く変色してしまうことがあります。
あくまで一時的に色むらを改善する治療法と考えましょう。
※ホワイトホワイトではCR及びダイレクトボンディング治療は行なっておりません
ラミネートベニア治療
歯を少し削るまたは全く削らずに、歯の表面にシェル状のラミネートベニアを貼り付ける治療法です。
歯の表面をラミネートベニアが覆うことにより、色むらを改善することができます。
ラミネートべニア治療症例
※1本95,000円。仮歯なし。自由診療。治療期間、費用、施術の流れ、仕上がりに関しては個人差があります。
副作用(リスク):一時的に歯がしみたり、かみ合わせの違和感を感じることがあります。
変色が気になっていた前歯6本に削らないラミネート治療を行い、ナチュラルな白さに仕上げました。セラミックによるラミネート治療の場合、お色の変色の心配がありません。
セラミック治療
歯を削り、セラミックでできた被せ物を被せる治療法です。
セラミックの被せ物を被せることで、色むらは一切見えなくなります。
歯を削る必要がありますが、審美的に優れたセラミックは天然歯に混ざってもどの歯がセラミックかわからないほど自然な仕上がりで、強度も強く機能的にも優れています。
長期的に後戻りの心配なくエナメル質形成不善(MIH)を改善されたい方におすすめの治療法です。
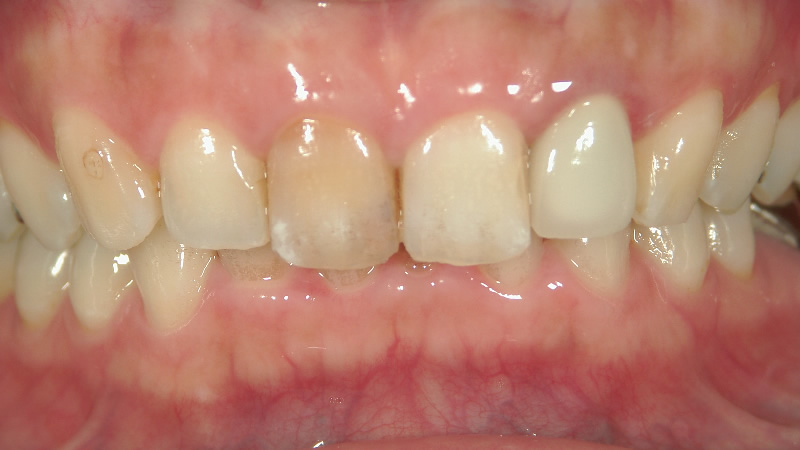
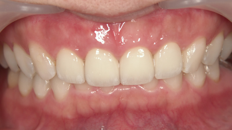
セラミック治療症例
※自由診療。治療期間、費用、施術の流れ、仕上がりに関しては個人差があります。
副作用(リスク):一時的に歯がしみたり、かみ合わせの違和感を感じることがあります。
前歯4本にセラミック治療を行うことで、変色した前歯を改善しました。セラミック治療では将来的な劣化や変色の心配がなく、長く透明感のあるナチュラルな前歯をキープいただけます。
ホワイトニング

ホワイトニングで歯の色むらを完全になくすことはできませんが、軽度から中度のエナメル質形成不善(MIH)であれば色むらを目立ちにくくできる場合があります。
遠方からお越しの方に向けた交通費一部補助制度について
遠方からお越しの方に向けた補助制度がございます。また、できるだけ通院回数を減らしたプランなど、柔軟な治療スケジュールを組ませていただきます。
短期集中治療について
遠方からお越しの方やできるだけ治療回数を減らしたい方に向けた、短期集中治療をご用意しております。
一度のご来院でできるだけ治療を進めることが可能です。
私たちが治療を担当いたします
総院長 石井府中
25年以上にわたり、セラミック治療・矯正治療を中心とした審美歯科治療を行ってきた実績。ミリ単位まで美しい治療は、多くの芸能人の方にも定評があります。恵比寿本店・ルミネ有楽町店を担当。
審美歯科医師/ルミネ新宿院 院長 石井李奈
女性ならではのきめ細かな審美歯科治療をご提案。患者様に寄り添った丁寧な治療は、数多くの患者様にお喜びいただいております。恵比寿本店・ルミネ新宿店を担当。
※本ページは審美歯科治療に25年以上従事する医師が監修しています。
柔軟なお支払い方法に対応PAYMENT
各種クレジットカードによる分割払いはもちろんのこと、患者さまのご希望に合わせた柔軟なお支払い方法に対応しております。ご希望のお支払い方法にできる限り寄り添いますので、お支払いについてもお気軽にご相談ください。
- 院内無利息分割払い無利息での現金やクレジットカードによる院内での分割払いが可能です。お支払いペースもご相談ください。
- LUMINEカードでのお支払い各店舗がLUMINEにもございますので、LUMINEカードでのお支払いが可能です。年に数回のLUMINEバーゲンでよりお得に審美治療を受けていただけます。
- デンタルローンに対応webサイトから簡単にお申込みのできるオリコのデンタルローンに対応しております。最大84回まで分割可能です。
- 各種QRコード決済が使えます
すべての審美歯科治療でpaypay・楽天ペイ・d払いなど、各種QRコード決済が行えます。柔軟なお支払い方法について
エナメル質形成不善(MIH)についてご相談ください

ホワイトホワイトでは、セラミック治療やラミネートべニア治療によるエナメル質形成不全治療を行っております。
少ない本数の歯の治療でも、お口元の印象が大きく変わるケースは少なくありません。
また、後戻りの心配なくエナメル質形成不全を改善することができます。エナメル質形成不善歯をコンプレックスに感じている方、歯の色むらを改善されたい方はまずは無料カウンセリングでご相談ください。
English
中文(简)
5/14-5/20の期間、ルミネカードによるお支払いで、


