- HOME
- セラミックブリッジ治療
セラミックブリッジ治療による前歯・奥歯の欠損歯治療

ホワイトホワイトでは、歯を失った箇所の治療法のひとつとしてブリッジ治療をご用意しております。
セラミックによるブリッジ治療では、ご自身の歯と見分けがつかないほどナチュラルな美しい仕上がりとなります。
ブリッジ治療とは

ブリッジ治療とは歯を失った箇所の両脇の歯を利用して、橋(ブリッジ)のようにダミーの歯と両脇の歯を連結させる治療法です。ご自身の歯に近い感覚で噛むことができ、審美面と機能面の両方を短期間に改善できます。
セラミックブリッジ治療について

ブリッジ治療では、被せ物の材質などによって価格が異なります。
当院では、金属を一切使用しない土台とジルコニアオールセラミックの被せ物によるブリッジ治療を行っております。
透明感のあるナチュラルな白い仕上がりで、変色の心配もありません。審美専門歯科ならではの、長く美しくお使いいただけるセラミックブリッジ治療を取り入れております。
そのほか歯を失った場合の治療法
インプラント治療

インプラント治療は、歯を失った箇所にインプラント体と呼ばれるネジ状の金属を埋め込みその上に被せ物を被せる治療法です。
外科的な治療が必要になりますが、まわりの歯を削る必要がありません。
また、最後臼歯(1番奥の歯)も適応になります。そのため、奥歯の入れ歯が合わない方にも適した治療法です。
治療費は保険適応外のため、治療部位や骨・顎の状態にもよりますが1本40万~70万円ほどです。
入れ歯治療
入れ歯治療には失った歯の部位や本数により、部分入れ歯と総入れ歯の二種類があります。
保険治療か自費治療か、どのような入れ歯を選択するかによっても相場が異なります。
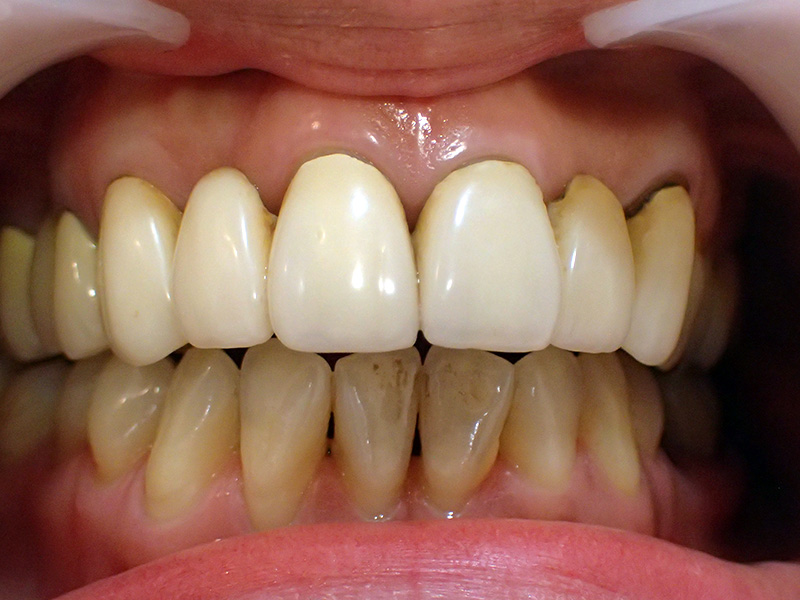
症例写真でみるセラミックブリッジ治療
※自由診療。治療期間、費用、施術の流れ、仕上がりに関しては個人差があります。施術はシンプルデザインセラミック1本¥110,000。治療期間約2ヶ月半。
副作用(リスク):一時的に歯がしみたり、かみ合わせの違和感を感じることがあります。
上の前歯6本にセラミックブリッジ治療を行いました。もともと差し歯によるブリッジが入っており、歯茎の黒ずみ(ブラックマージン)や厚みのある被せ物が気になることでご来院いただきました。
セラミッククラウンと金属を一切しない土台に入れ替えることで歯茎の黒ずみ・差し歯の厚みが解消され、ナチュラルな白い前歯に仕上がりました。
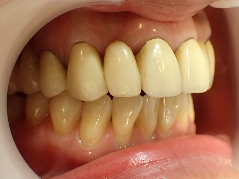
前歯のセラミックブリッジ治療のポイント
ポイント①:左右対象性を追求した仕上がり
前歯はお顔の印象において、最も重要な要素の一つです。
お顔が美しく見えるポイントのひとつに、「左右対象性」が挙げられます。
ブリッジ治療では左右差が出やすい

ブリッジ治療では、治療を行う反対側の天然歯との見た目のバランスが重要です。
ブリッジ治療を行う反対側の天然歯と比べたときに色・形や長さ・幅などに違和感があると、お顔の印象に悪影響を与えます。そのため色調や形態・透明感までかなり精細に作らないと、左右における仕上がりを比較したときに違和感が出やすくなります。
左右対称性を追求した美しい仕上がり

ホワイトホワイトでは審美歯科を専門としたドクターと歯科技工士が連携してセラミックの被せ物をお作りいたします。
長年審美治療を専門として培った技術を駆使し、左右対象で調和の取れたセラミックブリッジ治療を行っております。
反対側の天然歯と比較してもナチュラルな仕上がりとなるよう、お色・形・幅まで細かく調整いたします。
ポイント②:天然歯と調和した色調・透明感・大きさ

例えば金属の裏打ちのある被せ物では、内側の金属色を隠すために陶材を厚く盛る必要があります。そのため、被せ物が大きく厚くなり、色味もマットになりやすいです。
一方、当院でお作りするブリッジでは金属を一切使用しません。そのため、大きさも天然歯と変わらないサイズに仕上げることができます。
また、厚みもまわりの天然歯と変わらない厚さに仕上げるので、ナチュラルで美しい仕上がりとなります。
レイヤリングを駆使したナチュラルな仕上がり

当院のお色へのこだわりをご紹介します。
ホワイトホワイトのセラミックでは、「レイヤリング」といわれるご自身の歯の色彩を絵の具のように細かくセラミックに盛り付ける技法を取り入れています。
天然歯特有のお色のグラデーションを細かく再現することで、セラミックの歯とまわりの天然歯を比べても変わらないナチュラルな仕上がりとなります。
奥歯のセラミックブリッジ治療のポイント
ポイント①:強度に優れたブリッジ治療

奥歯は前歯に比べて噛む力が強く加わります。そのため、ブリッジ治療において強い強度が求められます。
当院では、被せ物にジルコニアセラミックを採用しております。ジルコニアは別名「人工ダイヤモンド」と呼ばれるほど強度に優れており、奥歯のセラミック治療に適しています。
噛み合わせが深い方・噛む力が強い方にも適した素材です。
ポイント②:厚みが気にならない仕上がり
厚みのある被せ物が奥歯に入っていると、頬や舌を噛みやすかったり舌が当たって違和感が出ることがあります。
当院では材質的に強度に優れたジルコニアセラミックを使用しているため、厚みを出す必要がありません。そのため違和感が出づらく、さらに審美的にもナチュラルな仕上がりとなります。
他院で治療が難しいと言われた方へ

ホワイトホワイトでは、他院でブリッジ治療が適応とならないと言われた方にも多く治療を受けていただいております。
以下のような方もぜひ一度ご相談ください。
- インプラント・入れ歯治療でないと適応とならないと言われた方
- 複数本の歯を失った方
- 以前に保険治療で行った治療をセラミックに入れ替えたい方
私たちが治療を担当いたします
総院長 石井府中
25年以上にわたり、セラミック治療・矯正治療を中心とした審美歯科治療を行ってきた実績。ミリ単位まで美しい治療は、多くの芸能人の方にも定評があります。恵比寿本店・ルミネ有楽町店を担当。
審美歯科医師/ルミネ新宿院 院長 石井李奈
女性ならではのきめ細かな審美歯科治療をご提案。患者様に寄り添った丁寧な治療は、数多くの患者様にお喜びいただいております。恵比寿本店・ルミネ新宿店を担当。
※本ページは審美歯科治療に25年以上従事する医師が監修しています。
遠方からお越しの方に向けた交通費一部補助制度について
遠方からお越しの方に向けた補助制度がございます。また、できるだけ通院回数を減らしたプランなど、柔軟な治療スケジュールを組ませていただきます。
短期集中治療について
遠方からお越しの方やできるだけ治療回数を減らしたい方に向けた、短期集中治療をご用意しております。
一度のご来院でできるだけ治療を進めることが可能です。
柔軟なお支払い方法に対応PAYMENT
各種クレジットカードによる分割払いはもちろんのこと、患者さまのご希望に合わせた柔軟なお支払い方法に対応しております。ご希望のお支払い方法にできる限り寄り添いますので、お支払いについてもお気軽にご相談ください。
- 院内無利息分割払い無利息での現金やクレジットカードによる院内での分割払いが可能です。お支払いペースもご相談ください。
- LUMINEカードでのお支払い各店舗がLUMINEにもございますので、LUMINEカードでのお支払いが可能です。年に数回のLUMINEバーゲンでよりお得に審美治療を受けていただけます。
- デンタルローンに対応webサイトから簡単にお申込みのできるオリコのデンタルローンに対応しております。最大84回まで分割可能です。
- 各種QRコード決済が使えます
すべての審美歯科治療でpaypay・楽天ペイ・d払いなど、各種QRコード決済が行えます。柔軟なお支払い方法について
セラミック治療についてご相談ください

ホワイトホワイトでは、機能性と審美性に優れ長くお使いいただけるセラミックブリッジ治療をご提案しております。
前歯から奥歯まで、ブリッジ治療を行う箇所に合わせて最適な治療をご提案いたします。
また、入れ歯やインプラントでないと治療をできないと考えられていた方で、当院でブリッジ治療を受けられた方も多くいらっしゃいます。ブリッジ治療についてまずは無料カウンセリングでご相談ください。
English
中文(简)
ルミネカードによるお支払いで、


