- HOME
- セラミック・被せ物の再治療(やり直し)
セラミック・被せ物の再治療(やり直し)

ホワイトホワイトでは、他院で治療したセラミックや被せ物の再治療を行っています。
歯ぐきが黒く見えるブラックマージンや、差し歯の再治療にも対応しています。
歯と身体に優しい素材を使用し、より機能的で美しいセラミックをお作りいたします。
セラミック・被せ物の再治療例
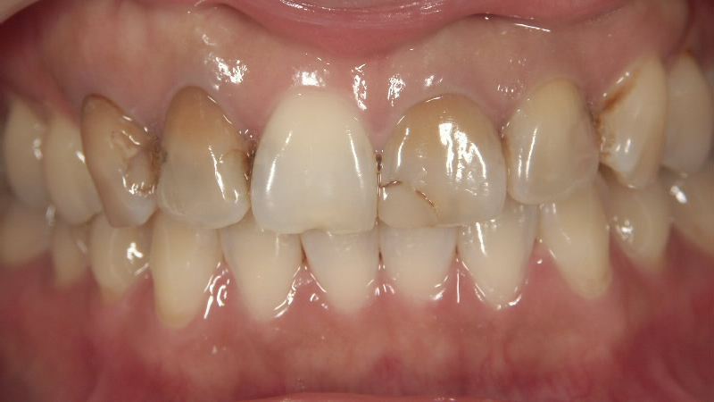
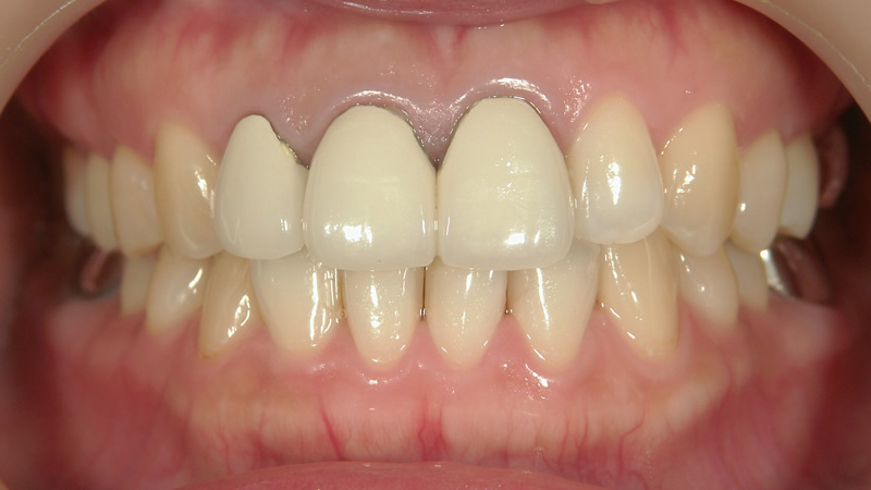
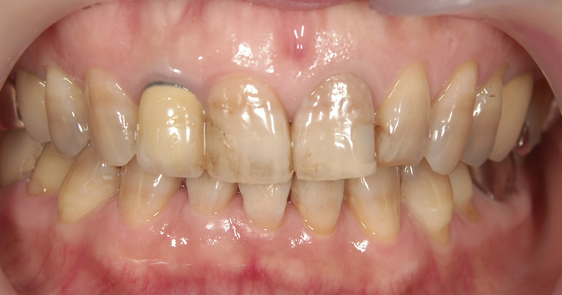
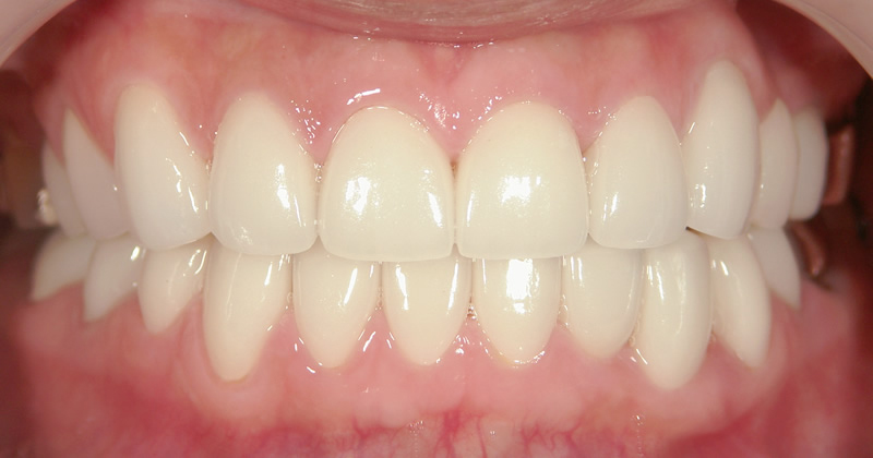
歯茎の黒ずみ・変色した被せ物を再治療
自由診療。治療期間、費用、施術の流れ、仕上がりに関しては個人差があります。
副作用(リスク):一時的に歯がしみたり、かみ合わせの違和感を感じることがあります。
以前の被せ物と歯ぐきの境目が黒く見える「ブラックマージン」にお悩みで、ご来院いただきました。
前歯3本の差し歯をセラミックに交換することで、歯ぐきの黒ずみだけでなく差し歯の色味や形も自然な状態へと改善。
周囲の歯ともバランスが取れた、自然な白さ・繊細な色のグラデーション・調和のとれた形に仕上げました。
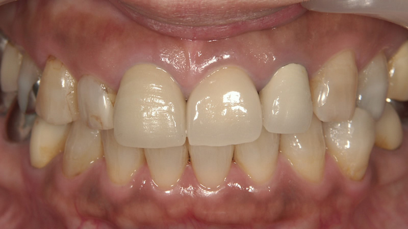
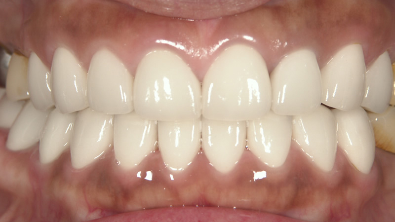
差し歯4本の再治療
自由診療。治療期間、費用、施術の流れ、仕上がりに関しては個人差があります。
副作用(リスク):一時的に歯がしみたり、かみ合わせの違和感を感じることがあります。
ご自身の歯はなるべく残したいというご希望でしたので、向かって左側の1本目の歯にはセラミック治療を行っていません。前歯4本にセラミック治療を行いました。残したご自身の歯と比べても厚みやお色もナチュラルで、若々しいお口元に仕上がりました。
セラミックのやり直しが必要になる症状
以下のようなお悩みがある方は、ぜひ一度ご相談ください。
- 色や透明感が自分の歯と合っていない
- 大きさや形を変えたい
- 被せ物にした歯が痛い・歯ぐきが腫れている
- 歯ぐきと被せ物の間に隙間がある
- 歯ぐきの黒ずみ(ブラックマージン)が気になる
- 治療した歯が取れてしまった・割れてしまった
よくあるセラミック・被せ物の再治療ケース
セラミック・被せ物の再治療よくあるケースをご紹介します。
セラミック・被せ物の内側が虫歯になっている

被せ物が歯とぴったりくっついていなかったり、劣化する素材を使用している場合、セラミックと歯の間にすき間があいて内側が虫歯になってしまうことがあります。
また、一概に「セラミック」といっても安価なものでは、吸水性の素材を含んでいることが少なくありません。吸水性の素材では、時間の経過とともに劣化や変色の恐れがあります。治療前にセラミックや被せ物の素材を確認することが大切です。
当院では、吸水性の素材を一切含まないオールセラミックのみを使用しています。そのため、セラミックが劣化して内側が虫歯になる心配がありません。
セラミック・被せ物が変色している・割れている

変色した差し歯例
先程お話ししたようにセラミックに吸水性の素材が含まれている場合、被せ物が時間と共に劣化して黄ばんだり変色してしまうことがあります。また、さらに劣化が進むと臭いが出たり汚れが溜まって歯周病の原因になることもあります。
劣化した被せ物をそのまま放置すると、歯を傷める場合もあるので注意が必要です。
歯の根が割れている
セラミック・被せ物にした歯に負担がかかっていたり、噛み合わせが強くあたっていると内側の歯が割れてしまうことがあります。さらに、歯根が割れると歯ぐきが腫れる・痛むといった症状が出てきます。
歯根の状態は、レントゲンやCTで確認できます。気になる症状がある場合は歯科医院に相談しましょう。
歯の根が感染している

セラミック・被せ物にした歯の根が、感染を起こしてしまうことがあります。感染を起こすと歯ぐきが腫れる・痛みが出るなどの症状が現れる場合もあれば、無症状のケースもあります。
歯の根が感染している場合、軽度から中度であれば根管治療といって歯の根の中を消毒する治療で症状が改善します。感染があまりに広がってしまっていると、抜歯になるケースもあります。
重症化する前に感染源を取り除くことが、歯の寿命を伸ばすことにつながります。
セラミックと歯の適合が悪い(ぴったり付いていない)
セラミックや被せ物と歯の適合が悪いと何度もセラミックが外れたり、被せ物と歯の間にすき間が生じて虫歯や歯周病の原因となることがあります。
放置せずに、歯に合った被せ物に取り替える必要があります。
噛み合わせが悪い

噛み合わせが強いと、歯が揺れる・痛みが出る・まわりの歯に比べて強くひびくなどの症状が現れます。
放置すると歯の根が割れたり、セラミック・被せ物が外れたり欠けてしまうことがあります。
また歯ぎしりをする方も、セラミック・被せ物に負担がかかりやすいのでマウスピースを装着するなどの対策が必要です。
歯ぐきが下がってしまっている
歯ぐきが下がって歯とセラミック・被せ物の境が見えてしまうと、審美的に違和感が生じます。
また歯の根元は虫歯になりやすい組織のため、被せ物で覆ってあげて保護する必要があります。
軽度の場合には歯ブラシの圧を弱めたり噛み合わせを緩めることで、歯ぐきが元の位置に戻ることもあります。
歯ぐきが長期的に下がっている場合は、現在の歯ぐきの位置に合わせたセラミックに交換する必要があります。
症例写真で見るセラミック・被せ物の再治療
上下セラミック治療による差し歯の再治療
自由診療。治療期間、費用、施術の流れ、仕上がりに関しては個人差があります。施術はシンプルデザインセラミック1本¥110,000。治療期間約2ヶ月半。
副作用(リスク):一時的に歯がしみたり、かみ合わせの違和感を感じることがあります。
変色してしまった差し歯や、ご自身の歯の色をきれいに整えたいとのご希望でご来院いただきました。
上下の前歯21本にセラミック治療を行い、全体として白く明るい清潔感のある口元に仕上げています。
セラミックは変色しにくいため、長期間にわたり自然で健康的な白さを保つことができます。
前歯3本の被せ物再治療
自由診療。治療期間、費用、施術の流れ、仕上がりに関しては個人差があります。施術はシンプルデザインセラミック1本¥110,000。治療期間約2ヶ月半。
副作用(リスク):一時的に歯がしみたり、かみ合わせの違和感を感じることがあります。
金属を使用した差し歯治療をしていることで、歯ぐきが黒く見える「ブラックマージン」を改善したケースです。
歯根内部にある変色した層を取り除くブラックマージン治療を行い、その後にセラミッククラウンを装着しました。
治療の仕上げの段階では歯ぐきの色も自然なピンク色へと回復し、口元全体が明るく健康的な印象に。
お顔全体がより若々しく、透明感のあるお口元に仕上がりました。
古くなった被せ物を白くしたい
※自由診療。治療期間、費用、施術の流れ、仕上がりに関しては個人差があります。シンプル・オールセラミッククラウン1本¥110,000。治療期間約2ヶ月半。
副作用(リスク):一時的に歯がしみたり、かみ合わせの違和感を感じることがあります。
以前に他院で入れた被せ物の跡をまとめてキレイに治し、全体を白く仕上げたいとご相談いただきました。
上下の差し歯をセラミックに交換し、全体として明るい白さに仕上げました。
セラミック・被せ物の再治療「美しさ」へのこだわり
審美治療専門ドクターと技工士が連携
当院では審美歯科を専門とするドクターと歯科技工士が、より自然で美しいセラミックをお作りいたします。

【色・形・大きさ・透明感にこだわったセラミッククラウン】
- お色へのこだわり
「レイヤリング」と呼ばれる技術により、歯の細かな色彩を再現し先端を半透明にしたり根本から先端にかけてグラデーションをかけていきます。天然歯に混ざっても、どの歯がセラミックか分からないほどナチュラルな仕上がりとなります。 - 形・大きさへのこだわり
「ジルコニア」と呼ばれる強い素材を採用することで、従来のセラミックのように厚みを出す必要がありません。
そのため、厚み・大きさともに薄く小さくセラミックをお作りできるので、まわりの歯に比べても自然な形態に仕上がります。
0.5mm内側からセラミックを立ち上げる技術

【歯ぐきの内側0.5mmから立ち上がったセラミック】
セラミックを歯ぐきの0.5mm内側から立ち上げる技術を駆使することで、歯ぐきから歯が生えているようにより自然な仕上がりとなります。より美しく、かつナチュラルな仕上がりとなります。
セラミック・被せ物の再治療「素材」へのこだわり
金属を一切使用せず劣化しないオールセラミックを使用

当院では土台・裏打ちを含めて、金属を一切使用しません。
金属は時間と共に溶け出して歯ぐきを黒く染めたり、金属アレルギーを引き起こすリスクがあります。
また、金属のお色を隠すために、被せ物に厚みが出てセラミックのお色がマットになったり透明感がなくなります。
歯と身体に優しく、より美しい仕上がりとなるメタルフリーのセラミック治療を行なっています。
歯の根の負担を減らすファイバーコアを使用
【金属を使用した土台】
【金属を一切仕様しないファイバーコア】
当院では、セラミックの土台に「ファイバーコア」と呼ばれる素材を採用しています。
従来の土台は金属を使用することが多かったですが、歯の根に負担がかかり歯根破折を引き起こすことがあります。
歯への負担を減らす優しい素材を採用することが、セラミックと歯の寿命をより長くすることに繋がります。
セラミック・被せ物の再治療「技術」へのこだわり
感染源の除去を徹底した根管治療

歯の根の中で感染を起こしている場合、まずは感染源を徹底的に除去することが重要です。
当院では専用の器具と薬剤を使用して、機械的かつ化学的に感染源を除去していきます。
また、必要に応じてマイクロルーペを使用して感染源をしっかりと特定します。
精密な根管治療を行うことで、セラミックをより長く安心してお使い頂けるよう努めています。
継続的に噛み合わせを調整してセラミックを長持ちさせる

当院では、セラミック治療完了後に「セラミックチェック」という定期検診を受けていただくことをおすすめしています。
セラミックチェックでは、必要に応じてセラミックの噛み合わせを調整します。
セラミックをお付けしてから何もしないと時間と共にセラミックと噛み合う歯やまわりの歯が動き、噛み合わせが強くなってしまうことがあります。
噛み合わせが強いまま放置すると、セラミックが取れたり割れたりするリスクが高まります。
セラミックチェックにお越しいただくことで、問題がないかしっかりと経過を診ることができます。安心して長期的にセラミックをお使い頂けます。
セラミック・被せ物の再治療の流れ
01検査(模型の作製・レントゲン検査・術前写真撮影)
歯の型を取り模型を作製します。
また、レントゲン検査を行ったうえで細かく治療計画を立案します。
セラミックを外して仮歯作製
古いセラミックを外して仮歯を作製します。仮歯は必ずお付けしますので、歯がない期間はありません。
03根管治療
感染している歯がある場合、根管治療を行います。
何度か消毒を繰り返し、感染源を取り除けたら根詰めをして根管を密封します。
土台の治療
【ファイバー製の土台】古い土台を取り除き、歯に優しいファイバーコアに交換して仮歯も新しく作り直します。
05仮歯の調整
セラミックの大きさや長さ・突出感などを、仮歯を調整することで細かくシミュレーションします。
仮歯について
セラミックを技工所に発注
仮歯でセラミックのイメージが固まったら、仮歯を元にセラミックを発注します。
仮歯でしっかりとシミュレーションすることで、イメージ通りのセラミックが出来上がります。
セラミックを装着
最後にセラミックを装着して、被せ物の再治療が完了です。
遠方からお越しの方に向けた交通費一部補助制度について
遠方からお越しの方に向けた補助制度がございます。また、できるだけ通院回数を減らしたプランなど、柔軟な治療スケジュールを組ませていただきます。
短期集中治療について
遠方からお越しの方やできるだけ治療回数を減らしたい方に向けた、短期集中治療をご用意しております。
一度のご来院でできるだけ治療を進めることが可能です。
私たちが治療を担当いたします
総院長 石井府中
25年以上にわたり、セラミック治療・矯正治療を中心とした審美歯科治療を行ってきた実績。ミリ単位まで美しい治療は、多くの芸能人の方にも定評があります。恵比寿本店・ルミネ有楽町店を担当。
審美歯科医師/ルミネ新宿院 院長 石井李奈
女性ならではのきめ細かな審美歯科治療をご提案。患者様に寄り添った丁寧な治療は、数多くの患者様にお喜びいただいております。恵比寿本店・ルミネ新宿店を担当。
※本ページは審美歯科治療に25年以上従事する医師が監修しています。
セラミックのやり直し・再治療をご検討されている方へ
ホワイトホワイトでは、銀座・有楽町・新宿・恵比寿の各院で、審美歯科医師/ルミネ新宿院 院長・石井李奈先生の監修のもと、セラミックのやり直し・再治療を行っております。
柔軟なお支払い方法に対応PAYMENT
各種クレジットカードによる分割払いはもちろんのこと、患者さまのご希望に合わせた柔軟なお支払い方法に対応しております。ご希望のお支払い方法にできる限り寄り添いますので、お支払いについてもお気軽にご相談ください。
- 院内無利息分割払い無利息での現金やクレジットカードによる院内での分割払いが可能です。お支払いペースもご相談ください。
- LUMINEカードでのお支払い各店舗がLUMINEにもございますので、LUMINEカードでのお支払いが可能です。年に数回のLUMINEバーゲンでよりお得に審美治療を受けていただけます。
- デンタルローンに対応webサイトから簡単にお申込みのできるオリコのデンタルローンに対応しております。最大84回まで分割可能です。
- 各種QRコード決済が使えます
すべての審美歯科治療でpaypay・楽天ペイ・d払いなど、各種QRコード決済が行えます。柔軟なお支払い方法について
美しく長くお使いいただけるセラミック治療

ホワイトホワイトでは、安心して長くお使い頂けるセラミック治療を行っています。
審美歯科を専門に25年以上治療を行ってきた技術を駆使して、機能性と美しさを兼ね備えたセラミック治療を患者様おひとりおひとりにご提案いたします。
古くなった被せ物やセラミックのやり直し・再治療についてまずは無料カウンセリングでご相談ください。
English
中文(简)
5/14-5/20の期間、ルミネカードによるお支払いで、








